[Ortho] Застарелый вывих лучевой кости

Вадим orthoforum на weborto.net
Пт Ноя 5 01:11:15 YEKT 2010


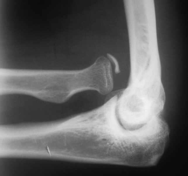
Мужчина 28 лет. Поступил в отделение по поводу застарелого вывиха левой лучевой кости. Со
слов больного, травму получил в 2001 году (предположительно переломовывих Монтеджи). 4
месяца назад начало беспокоить онемение в левой руке, от кончиков пальцев до верхней трети
левого предплечья, по утрам. После разминки эспандером онемение проходит.

При осмотре: левая верхняя конечность без видимой деформации. В
проекции локтевой ямки пальпируется, выстоящая головка лучевой кости,
пальпация безболезненна. Пальцы левой кисти теплые. Чувствительность
не изменена.

Хотелось бы узнать мнение коллег по поводу тактики лечения такого пациента.


Вадим
----------- УМЕДХЭБС ЮБУФШ -----------
Вложение не в текстовом формате было извлечено…
Имя     : SNC00180.jpg
Тип     : image/jpeg
Размер  : 16630 байтов
Описание: отсутствует
Url     : http://weborto.net:8080/pipermail/ortho/attachments/20101105/9ff147a4/attachment-0001.jpg 


Подробная информация о списке рассылки Ortho