[Ortho] Рассекающий остеходрит + киста шейки тарана

Владимир М. Троицкий orthoforum на weborto.net
Пт Ноя 5 17:54:43 YEKT 2010


Уважаемые коллеги, обратился за помощью пациент, мужчина, 25 лет. С жалобами на болевой
синдром в области голеностопного сустава и среднем отделе стопы. Травму отрицает. Со слов,
болевой синдром в течении 1 года. Последние 1-1.5 мес периодически вынужден пользоваться
костылями. После ограничения нагрузки боли уменьшаются. Соматически здоров. До появления
болей активно занимался рукопашным боем.

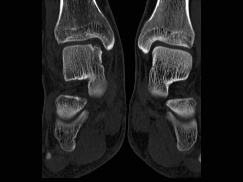
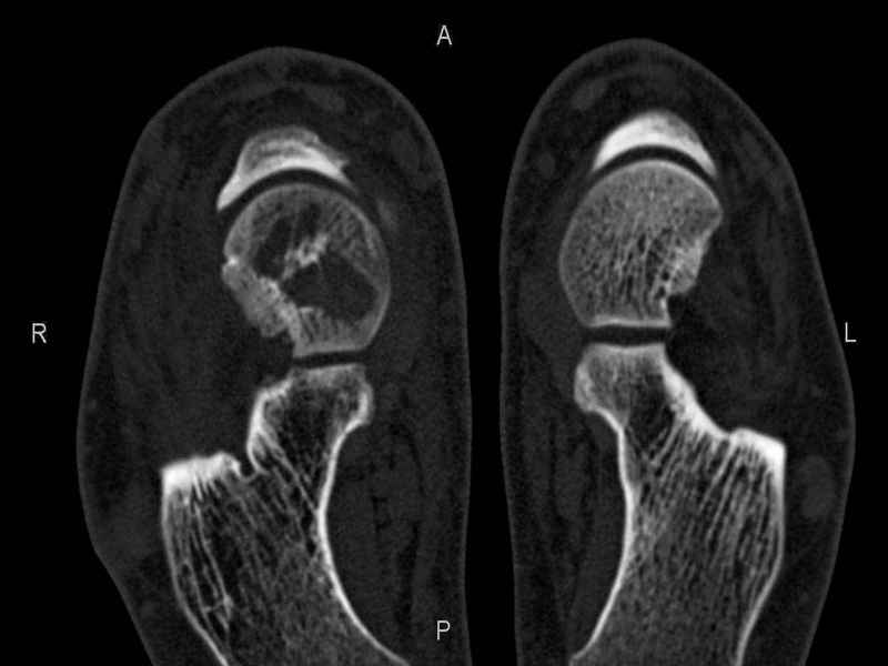
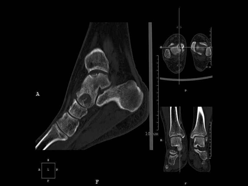
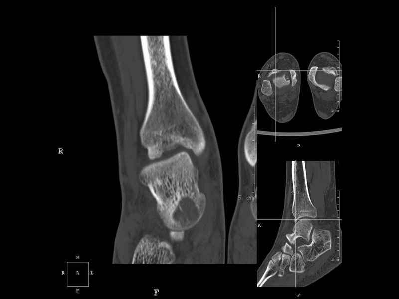
На СКТ картина рассекающего остеохондрита блока
таранной кости, киста шейки таранной кости с признаками импрессии суставной поверхности. А
также - разрастания переднего края б\берцовой кости сопровождающиеся клиникой импиджмент
синдрома.

Предполагаемый план лечения- удаление свободного фрагмента суставного хряща из
трансмаллеолярного доступа с рассверливанием поверхности дефекта, кюретаж кисты шейки с
заполнением полости биокомпозитом + дебридмент переднего отдела голеностопного сустава.
Прошу высказать своё мнение, за и против, предполагаемого плана лечения.

А также по возможности ответить на вопросы:

1. Есть ли необходимость в улучшении васкуляризации таранной кости (например подтаранный артродез).
2. Учитывая планируемое применение биокомпозитного цемента
целесообразно ли заполнение им дефекта блока таранной кости с
моделированием края суставной поверхности.

C уважением Владимир М. Троицкий.
----------- УМЕДХЭБС ЮБУФШ -----------
Вложение не в текстовом формате было извлечено…
Имя     : 001.jpg
Тип     : image/jpeg
Размер  : 17719 байтов
Описание: отсутствует
Url     : http://weborto.net:8080/pipermail/ortho/attachments/20101105/3229d69a/attachment-0010.jpg 
----------- УМЕДХЭБС ЮБУФШ -----------
Вложение не в текстовом формате было извлечено…
Имя     : 002.jpg
Тип     : image/jpeg
Размер  : 18466 байтов
Описание: отсутствует
Url     : http://weborto.net:8080/pipermail/ortho/attachments/20101105/3229d69a/attachment-0011.jpg 
----------- УМЕДХЭБС ЮБУФШ -----------
Вложение не в текстовом формате было извлечено…
Имя     : 003.jpg
Тип     : image/jpeg
Размер  : 18312 байтов
Описание: отсутствует
Url     : http://weborto.net:8080/pipermail/ortho/attachments/20101105/3229d69a/attachment-0012.jpg 
----------- УМЕДХЭБС ЮБУФШ -----------
Вложение не в текстовом формате было извлечено…
Имя     : 004.jpg
Тип     : image/jpeg
Размер  : 23927 байтов
Описание: отсутствует
Url     : http://weborto.net:8080/pipermail/ortho/attachments/20101105/3229d69a/attachment-0013.jpg 
----------- УМЕДХЭБС ЮБУФШ -----------
Вложение не в текстовом формате было извлечено…
Имя     : 005.jpg
Тип     : image/jpeg
Размер  : 23735 байтов
Описание: отсутствует
Url     : http://weborto.net:8080/pipermail/ortho/attachments/20101105/3229d69a/attachment-0014.jpg 
----------- УМЕДХЭБС ЮБУФШ -----------
Вложение не в текстовом формате было извлечено…
Имя     : 006.jpg
Тип     : image/jpeg
Размер  : 23517 байтов
Описание: отсутствует
Url     : http://weborto.net:8080/pipermail/ortho/attachments/20101105/3229d69a/attachment-0015.jpg 
----------- УМЕДХЭБС ЮБУФШ -----------
Вложение не в текстовом формате было извлечено…
Имя     : 007.jpg
Тип     : image/jpeg
Размер  : 23801 байтов
Описание: отсутствует
Url     : http://weborto.net:8080/pipermail/ortho/attachments/20101105/3229d69a/attachment-0016.jpg 
----------- УМЕДХЭБС ЮБУФШ -----------
Вложение не в текстовом формате было извлечено…
Имя     : 008.jpg
Тип     : image/jpeg
Размер  : 24382 байтов
Описание: отсутствует
Url     : http://weborto.net:8080/pipermail/ortho/attachments/20101105/3229d69a/attachment-0017.jpg 
----------- УМЕДХЭБС ЮБУФШ -----------
Вложение не в текстовом формате было извлечено…
Имя     : 009.jpg
Тип     : image/jpeg
Размер  : 25695 байтов
Описание: отсутствует
Url     : http://weborto.net:8080/pipermail/ortho/attachments/20101105/3229d69a/attachment-0018.jpg 
----------- УМЕДХЭБС ЮБУФШ -----------
Вложение не в текстовом формате было извлечено…
Имя     : 010.jpg
Тип     : image/jpeg
Размер  : 25823 байтов
Описание: отсутствует
Url     : http://weborto.net:8080/pipermail/ortho/attachments/20101105/3229d69a/attachment-0019.jpg 


Подробная информация о списке рассылки Ortho