[Ortho] проксимальный отдел бедра

Александр Кутков orthoforum на weborto.net
Сб Ноя 6 17:12:17 YEKT 2010


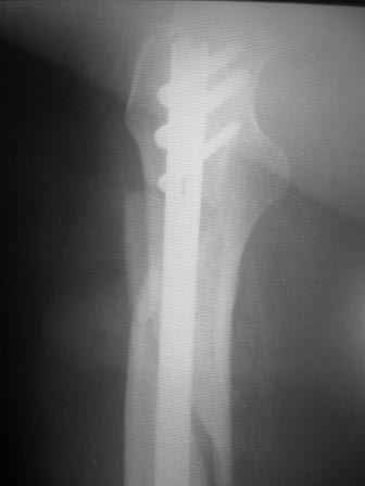
Уважаемый Максим, поддерживаю Вашу тактику на сто процентов. Более того скажу, что было в моей практике: установка блокированного бедренного стержня под местной анестезией (инфильтрационной), больная инвалид первой группы-анестезиологи отказались от больной. Выписана из отделения через 10-ть суток с объёмом движений до перелома (обслужи себя сам). Автору постера, чем меньше продержите до операции, тем лучше эфект от лечения (но без фанатизма).
Спасибо.
Александр Кутков
----------- УМЕДХЭБС ЮБУФШ -----------
Вложение не в текстовом формате было извлечено…
Имя     : IMG_1580.JPG
Тип     : image/jpeg
Размер  : 29785 байтов
Описание: отсутствует
Url     : http://weborto.net:8080/pipermail/ortho/attachments/20101106/73ece197/attachment-0004.jpeg 
----------- УМЕДХЭБС ЮБУФШ -----------
Вложение не в текстовом формате было извлечено…
Имя     : IMG_1582.JPG
Тип     : image/jpeg
Размер  : 18465 байтов
Описание: отсутствует
Url     : http://weborto.net:8080/pipermail/ortho/attachments/20101106/73ece197/attachment-0005.jpeg 
----------- УМЕДХЭБС ЮБУФШ -----------
Вложение не в текстовом формате было извлечено…
Имя     : IMG_1599.JPG
Тип     : image/jpeg
Размер  : 11605 байтов
Описание: отсутствует
Url     : http://weborto.net:8080/pipermail/ortho/attachments/20101106/73ece197/attachment-0006.jpeg 
----------- УМЕДХЭБС ЮБУФШ -----------
Вложение не в текстовом формате было извлечено…
Имя     : IMG_1604.JPG
Тип     : image/jpeg
Размер  : 11497 байтов
Описание: отсутствует
Url     : http://weborto.net:8080/pipermail/ortho/attachments/20101106/73ece197/attachment-0007.jpeg 


Подробная информация о списке рассылки Ortho