[Ortho] проксимальный отдел бедра

Станислав Боярский orthoforum на weborto.net
Сб Ноя 6 18:00:35 YEKT 2010


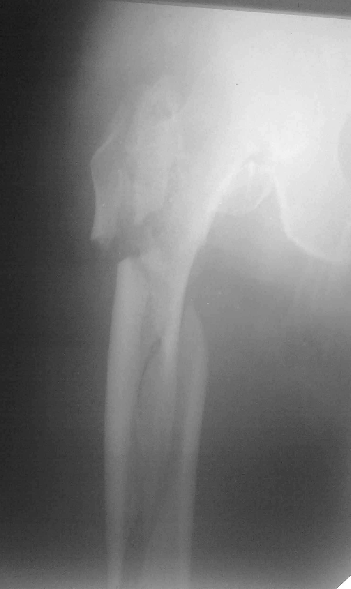
Пациент 83 года. Реконструктивный бедренный стержень Chm
Станислав Боярский
----------- УМЕДХЭБС ЮБУФШ -----------
Вложение не в текстовом формате было извлечено…
Имя     : 28092009069.jpg
Тип     : image/jpeg
Размер  : 46029 байтов
Описание: отсутствует
Url     : http://weborto.net:8080/pipermail/ortho/attachments/20101106/4466bdf3/attachment-0004.jpg 
----------- УМЕДХЭБС ЮБУФШ -----------
Вложение не в текстовом формате было извлечено…
Имя     : 28092009070.jpg
Тип     : image/jpeg
Размер  : 64328 байтов
Описание: отсутствует
Url     : http://weborto.net:8080/pipermail/ortho/attachments/20101106/4466bdf3/attachment-0005.jpg 
----------- УМЕДХЭБС ЮБУФШ -----------
Вложение не в текстовом формате было извлечено…
Имя     : 29092009071.jpg
Тип     : image/jpeg
Размер  : 43203 байтов
Описание: отсутствует
Url     : http://weborto.net:8080/pipermail/ortho/attachments/20101106/4466bdf3/attachment-0006.jpg 
----------- УМЕДХЭБС ЮБУФШ -----------
Вложение не в текстовом формате было извлечено…
Имя     : 30102009089.jpg
Тип     : image/jpeg
Размер  : 40886 байтов
Описание: отсутствует
Url     : http://weborto.net:8080/pipermail/ortho/attachments/20101106/4466bdf3/attachment-0007.jpg 


Подробная информация о списке рассылки Ortho