[Ortho] проксимальный отдел бедра

станислав рангаев orthoforum на weborto.net
Сб Ноя 6 23:59:03 YEKT 2010


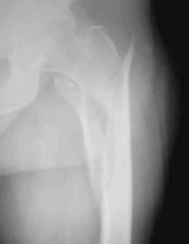
уважаемые коллеги,помогите определиться с тактикой лечения больной:бабушка 72г.с
чрезвертельно_подвертельным переломом и кучей соматических проблем(диабет 2
типа,аг,ревматоидный полиартрит и т.д)находится на скелетном вытяжении.только что стали
внедрять у себя блокирующий остеосинтез.какие мнения?


станислав рангаев
----------- УМЕДХЭБС ЮБУФШ -----------
Вложение не в текстовом формате было извлечено…
Имя     : P061110_11.28.jpg
Тип     : image/jpeg
Размер  : 3956 байтов
Описание: отсутствует
Url     : http://weborto.net:8080/pipermail/ortho/attachments/20101106/e85a0f2e/attachment.jpg 


Подробная информация о списке рассылки Ortho