[Ortho] Деформация позвоночника

А.В.Владзимирский orthoforum на weborto.net
Чт Ноя 11 12:52:09 YEKT 2010


Уважаемые коллеги!Окажите, пожалуйста, консультативную помощь в данном случае.Мальчик,
2008 г.р. Жалобы родителей на деформацию позвоночника и мягких тканей, быструю
утомляемость.Анализ заболевания: деформацию позвоночника родители заметили, когда
ребенок стал ходить. Обратились в гор. больницу по месту жительства, где была произведена
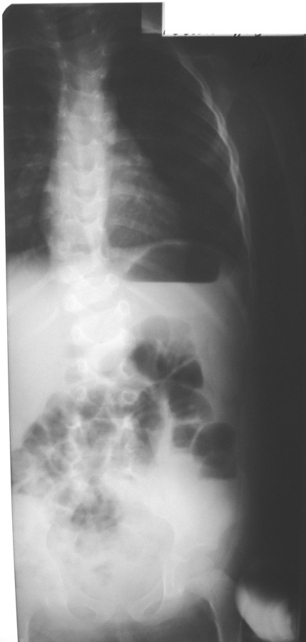
рентгенография позвоночного столба.При осмотре: определяется перекос таза вправо, S
образное искривление позвоночника, ассиметрия надплечий, треугольников талии,
правосторонний мышечный валик в поясничном отделе позвоночника.На рентгенограммах с 1
грудного по 1 крестцовый (прямая проекция) аномалия развития позвоночника: левосторонний
клиновидный позвонок 3 грудного, правосторонний клиновидный позвонок 11 грудного.
Добавочный левосторонний клиновидный позвонок между 2 поясничным и 3 поясничным
S-образный с ротацией тел. Перекос таза вправо.Методы дообследования?Тактика
лечения?Заранее благодарим!


А.В.Владзимирский

----------- УМЕДХЭБС ЮБУФШ -----------
Вложение не в текстовом формате было извлечено…
Имя     : spine3.jpg
Тип     : image/jpeg
Размер  : 50703 байтов
Описание: отсутствует
Url     : http://weborto.net:8080/pipermail/ortho/attachments/20101111/2adec684/attachment-0001.jpg 


Подробная информация о списке рассылки Ortho