[Ortho] перелом бедра

Роман Д. orthoforum на weborto.net
Ср Ноя 17 23:56:54 YEKT 2010


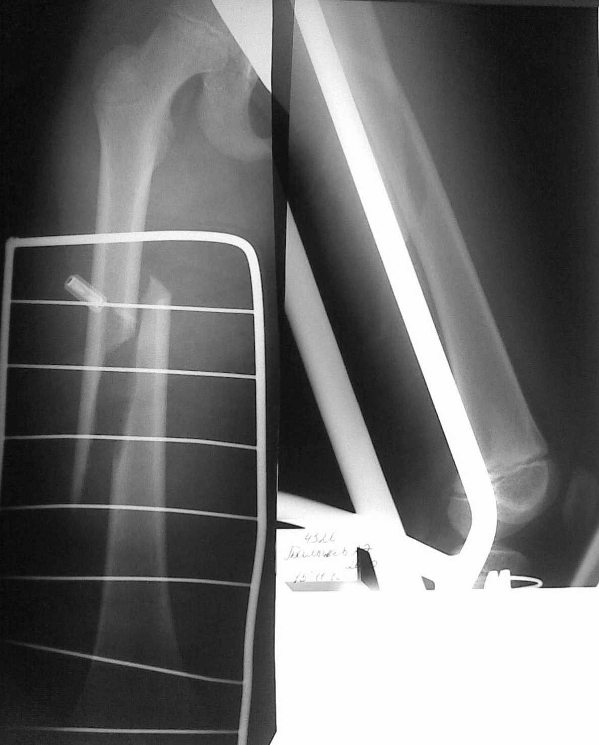
Уважаемые коллеги! В связи с малым опытом лечения переломов трубчатых костей у детей.
хотелось бы узнать Ваше мнение о методах остеосинтеза данного пациента. Ребенок 10 лет,
травма спортивная. есть проблемы с "железом". думаем о интрамедулярном остеосинтезе +
толстый кетгут.
Роман Д.
----------- УМЕДХЭБС ЮБУФШ -----------
Вложение не в текстовом формате было извлечено…
Имя     : 1.jpg
Тип     : image/jpeg
Размер  : 68100 байтов
Описание: отсутствует
Url     : http://weborto.net:8080/pipermail/ortho/attachments/20101117/d5c0b85d/attachment-0001.jpg 


Подробная информация о списке рассылки Ortho