[Ortho] несросшийся перелом лучевой кости

кирилл orthoforum на weborto.net
Ср Ноя 24 19:53:25 YEKT 2010


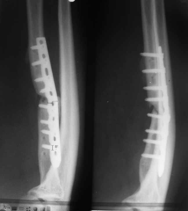
Глубокоуважаемые коллеги!Помогите определиться с объёмом оперативного лечения несросшегося перелома лучевой кости

Мужчина средних лет, крепкого телосложения, с высокими физическими требованиями. Травма 2 года назад. Оперирован дважды, сразу после травмы и в апреле2010 по поводу перелома пластины. В настоящее время вновь сломана пластина, боли, нарушение функции. Теперь его лечить предстоит мне. Дефекты предшествующей операции в общем понятны. Пожалуйста, помогите определится с оптимальным вариантом операции, пластики.Заранее благодарен, Кирилл
кирилл
----------- УМЕДХЭБС ЮБУФШ -----------
Вложение не в текстовом формате было извлечено…
Имя     : IMG_1631-1.jpg
Тип     : image/jpeg
Размер  : 24112 байтов
Описание: отсутствует
Url     : http://weborto.net:8080/pipermail/ortho/attachments/20101124/d5615587/attachment-0001.jpg 


Подробная информация о списке рассылки Ortho