[Ortho] Рассекающий остеходрит + киста шейки тарана

Владимир М. Троицкий orthoforum на weborto.net
Пт Ноя 5 17:55:19 YEKT 2010


Уважаемые коллеги, обратился за помощью пациент, мужчина, 25 лет. С жалобами на болевой
синдром в области голеностопного сустава и среднем отделе стопы. Травму отрицает. Со слов,
болевой синдром в течении 1 года. Последние 1-1.5 мес периодически вынужден пользоваться
костылями. После ограничения нагрузки боли уменьшаются. Соматически здоров. До появления
болей активно занимался рукопашным боем.

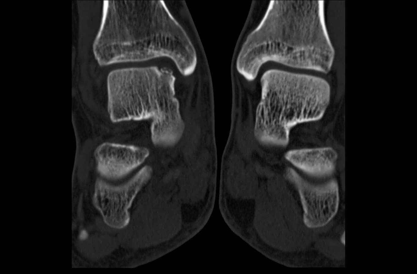
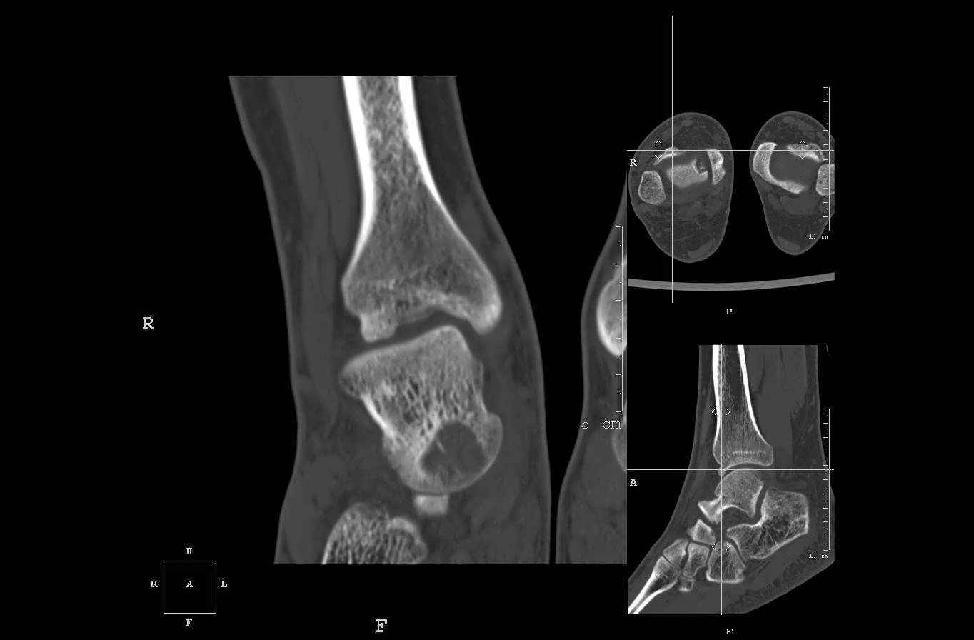
На СКТ картина рассекающего остеохондрита блока
таранной кости, киста шейки таранной кости с признаками импрессии суставной поверхности. А
также - разрастания переднего края б\берцовой кости сопровождающиеся клиникой импиджмент
синдрома.

Предполагаемый план лечения- удаление свободного фрагмента суставного хряща из
трансмаллеолярного доступа с рассверливанием поверхности дефекта, кюретаж кисты шейки с
заполнением полости биокомпозитом + дебридмент переднего отдела голеностопного сустава.
Прошу высказать своё мнение, за и против, предполагаемого плана лечения.

А также по возможности ответить на вопросы:

1. Есть ли необходимость в улучшении васкуляризации таранной кости (например подтаранный артродез).
2. Учитывая планируемое применение биокомпозитного цемента
целесообразно ли заполнение им дефекта блока таранной кости с
моделированием края суставной поверхности.

C уважением Владимир М. Троицкий.
----------- УМЕДХЭБС ЮБУФШ -----------
Вложение не в текстовом формате было извлечено…
Имя     : 001.jpg
Тип     : image/jpeg
Размер  : 41156 байтов
Описание: отсутствует
Url     : http://weborto.net:8080/pipermail/ortho/attachments/20101105/604a5589/attachment-0010.jpg 
----------- УМЕДХЭБС ЮБУФШ -----------
Вложение не в текстовом формате было извлечено…
Имя     : 002.jpg
Тип     : image/jpeg
Размер  : 39589 байтов
Описание: отсутствует
Url     : http://weborto.net:8080/pipermail/ortho/attachments/20101105/604a5589/attachment-0011.jpg 
----------- УМЕДХЭБС ЮБУФШ -----------
Вложение не в текстовом формате было извлечено…
Имя     : 003.jpg
Тип     : image/jpeg
Размер  : 39853 байтов
Описание: отсутствует
Url     : http://weborto.net:8080/pipermail/ortho/attachments/20101105/604a5589/attachment-0012.jpg 
----------- УМЕДХЭБС ЮБУФШ -----------
Вложение не в текстовом формате было извлечено…
Имя     : 004.jpg
Тип     : image/jpeg
Размер  : 50026 байтов
Описание: отсутствует
Url     : http://weborto.net:8080/pipermail/ortho/attachments/20101105/604a5589/attachment-0013.jpg 
----------- УМЕДХЭБС ЮБУФШ -----------
Вложение не в текстовом формате было извлечено…
Имя     : 005.jpg
Тип     : image/jpeg
Размер  : 49829 байтов
Описание: отсутствует
Url     : http://weborto.net:8080/pipermail/ortho/attachments/20101105/604a5589/attachment-0014.jpg 
----------- УМЕДХЭБС ЮБУФШ -----------
Вложение не в текстовом формате было извлечено…
Имя     : 006.jpg
Тип     : image/jpeg
Размер  : 49493 байтов
Описание: отсутствует
Url     : http://weborto.net:8080/pipermail/ortho/attachments/20101105/604a5589/attachment-0015.jpg 
----------- УМЕДХЭБС ЮБУФШ -----------
Вложение не в текстовом формате было извлечено…
Имя     : 007.jpg
Тип     : image/jpeg
Размер  : 50022 байтов
Описание: отсутствует
Url     : http://weborto.net:8080/pipermail/ortho/attachments/20101105/604a5589/attachment-0016.jpg 
----------- УМЕДХЭБС ЮБУФШ -----------
Вложение не в текстовом формате было извлечено…
Имя     : 008.jpg
Тип     : image/jpeg
Размер  : 50897 байтов
Описание: отсутствует
Url     : http://weborto.net:8080/pipermail/ortho/attachments/20101105/604a5589/attachment-0017.jpg 
----------- УМЕДХЭБС ЮБУФШ -----------
Вложение не в текстовом формате было извлечено…
Имя     : 009.jpg
Тип     : image/jpeg
Размер  : 53625 байтов
Описание: отсутствует
Url     : http://weborto.net:8080/pipermail/ortho/attachments/20101105/604a5589/attachment-0018.jpg 
----------- УМЕДХЭБС ЮБУФШ -----------
Вложение не в текстовом формате было извлечено…
Имя     : 010.jpg
Тип     : image/jpeg
Размер  : 53952 байтов
Описание: отсутствует
Url     : http://weborto.net:8080/pipermail/ortho/attachments/20101105/604a5589/attachment-0019.jpg 


Подробная информация о списке рассылки Ortho