[Ortho] Акромиально - ключичное сочленение -застарелый разрыв

Батал Алексеевич Шушания orthoforum на weborto.net
Вс Ноя 28 23:39:22 YEKT 2010


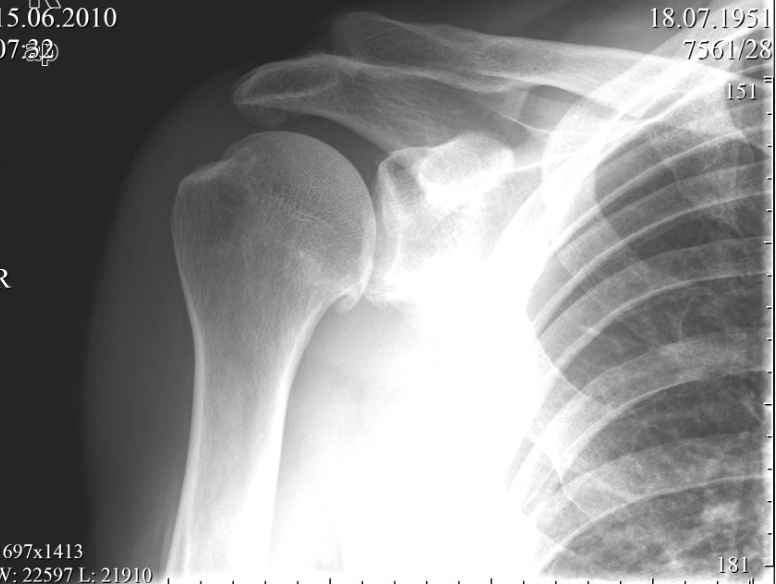
Пациент, мужчина, 59 лет обратился в июне с жалобами на умеренные периодические боли и хруст в
области правого плечевого сустава. В анамнезе, 1,5 года назад упал, ударился задней
поверхностью локтевого сустава, при отведенной правой руки в плечевом суставе и согнутом в
локтевом. Обратился за мед. помощью, по месту жительства, сказали, что ничего страшного,
повесили травмированную конечность на косынку. Тогда, в июне 2010года, когда я впервые
увидел пациента, он щадил руку, было ограничение объема движений в правом плечевом суставе.
Потому я предложил заняться лечебной физкультурой а потом посмотреть достигнутый
результат. Сегодня в пациента восстановлен полный объем движений в правом плечевом
суставе, боли сохраняются, но не такие выраженные, как раньше. Но при движении правой рукой
стоит ТАКОЙ хруст, что слышен на расстоянии. Пальпаторно, при движении правой
рукой,ощущается подвижность в акромиально-ключичном сочленении, и боли при отведении в
правом плече более 120 градусов. Пациента не устраивает нынешние положение дел с его плечом.
Хочет более радикального лечения. Я подумывая об операции, но побаиваюсь за результат.
Нужно иссечь рубцы, низвести акромиальный конец ключицы (а она будет "пружинить")и
фиксировать крючковидной пластиной к акромиону, не исключается выполнение
акромионопластики. Удержит ли пластина и удержатся ли взаимоотношения в
акромиально-ключичном сочленении, после удаления пластины? Тут вспомнился разговор с
профессором Джолдасом Кулджановым, о необходимости восстановления
клювовидно-ключичной связки. Хотелось бы освежить этот разговор в своей памяти и попросить
профессора найти время и рассказать еще раз о целесообразности и технике восстановления
клювовидно-ключичной связки, ну выслушать мнение коллег по Ортофоруму. С уважением
Шушания Батал.
Батал Алексеевич Шушания
----------- УМЕДХЭБС ЮБУФШ -----------
Вложение не в текстовом формате было извлечено…
Имя     : 2010-11-28 12 35 43.jpg
Тип     : image/jpeg
Размер  : 20630 байтов
Описание: отсутствует
Url     : http://weborto.net:8080/pipermail/ortho/attachments/20101128/722fb246/attachment-0001.jpg 


Подробная информация о списке рассылки Ortho