[Ortho] Разгибательная контрактура после ТКА

Maxim Agalakov orthoforum на weborto.net
Пт Окт 1 20:24:57 YEKST 2010


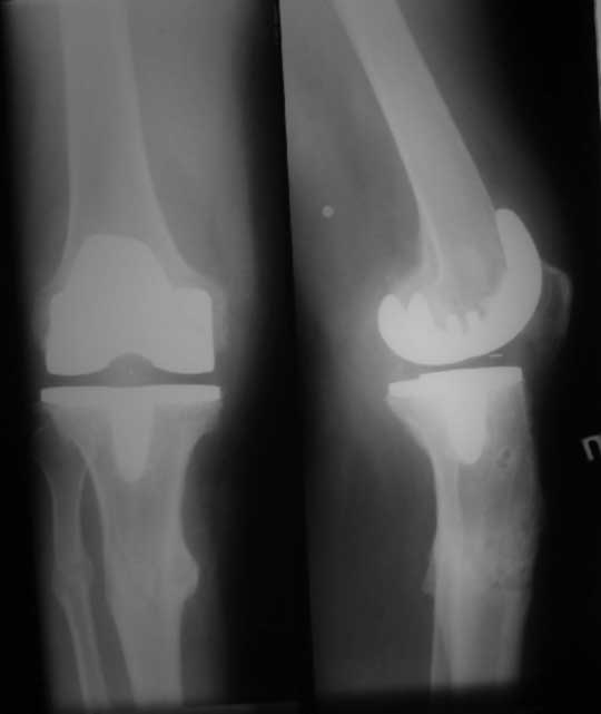
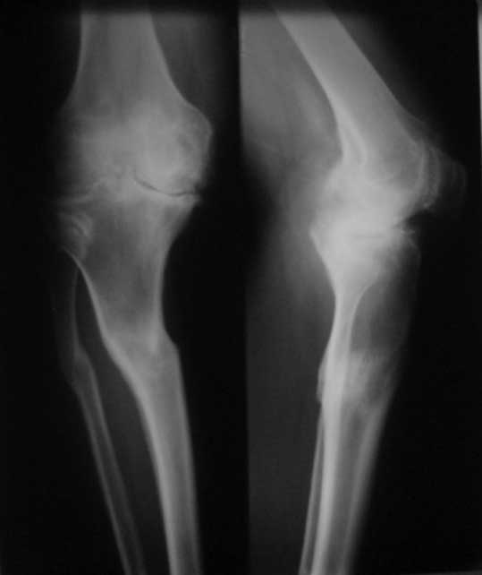
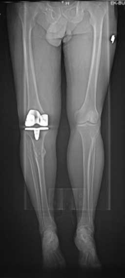
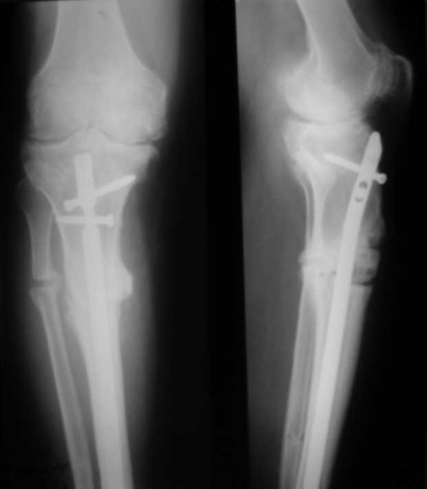
Уважаемые коллеги.
Пациент 8 мес после операции ТКА, в анамнезе неправильно сросшийся
перелом голени, коррекция оси (снимки прилагаются).

В настоящее время имеется разгибательная контрактура 10/5/0, на
операционном столе было 90/0/5, на момент выписки движения 50/0/0 в
надежде на дальнейшую разработку. До эндопротезирования 40/10/0.
Глубокая инфекция исключена. Ротация бедренного компонента в норме (по
КТ).  

Вопросы:
насколько для такого ограничения критична некорректная установка б/б компонента (я
намерял 7 град)?
Причина нынешнего состояния, артрофиброз?
Какие действия следует предпринять, удаление рубцов,релиз головок 4-главой мышцы?
Что-либо другое, ваше мнение?
С уважением, Максим Агалаков, Екатеринбург.


----------- УМЕДХЭБС ЮБУФШ -----------
Вложение не в текстовом формате было извлечено…
Имя     : 4.jpg
Тип     : image/jpeg
Размер  : 8261 байтов
Описание: отсутствует
Url     : http://weborto.net:8080/pipermail/ortho/attachments/20101001/bad7aec8/attachment-0004.jpg 
----------- УМЕДХЭБС ЮБУФШ -----------
Вложение не в текстовом формате было извлечено…
Имя     : 1.jpg
Тип     : image/jpeg
Размер  : 10906 байтов
Описание: отсутствует
Url     : http://weborto.net:8080/pipermail/ortho/attachments/20101001/bad7aec8/attachment-0005.jpg 
----------- УМЕДХЭБС ЮБУФШ -----------
Вложение не в текстовом формате было извлечено…
Имя     : 2.jpg
Тип     : image/jpeg
Размер  : 13393 байтов
Описание: отсутствует
Url     : http://weborto.net:8080/pipermail/ortho/attachments/20101001/bad7aec8/attachment-0006.jpg 
----------- УМЕДХЭБС ЮБУФШ -----------
Вложение не в текстовом формате было извлечено…
Имя     : 3.jpg
Тип     : image/jpeg
Размер  : 10403 байтов
Описание: отсутствует
Url     : http://weborto.net:8080/pipermail/ortho/attachments/20101001/bad7aec8/attachment-0007.jpg 


Подробная информация о списке рассылки Ortho