[Ortho] rami nonunions

dan schlatterer orthoforum на weborto.net
Сб Окт 16 00:02:57 YEKST 2010


hello everyone,
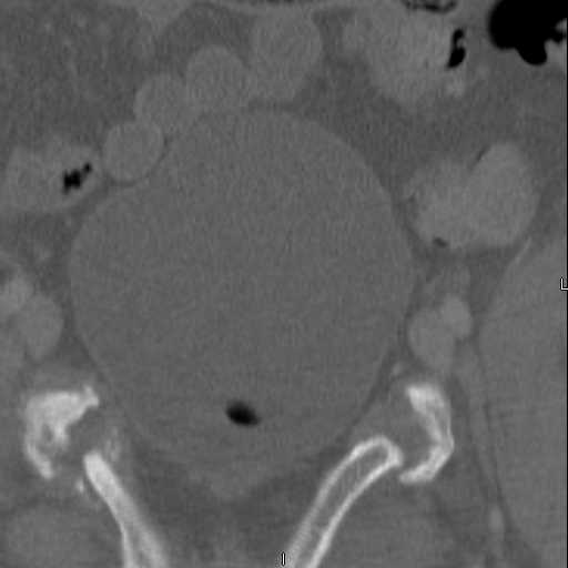
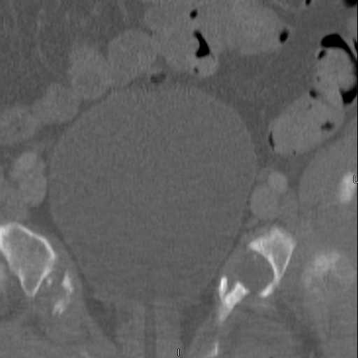
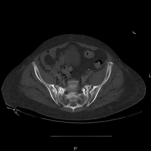
attached are images of a 59 yo female, admitted today after motor vehicle collision. Pt states her pelvis has been very painful ever since she fell on her buttocks from ground level a little over a year ago.


medical history significant for scleroderma, raynauds syndrome, and COPD. no past surgeries.
 
pt states she is very limited in walking ability secondary to pain. she requires a cane or a walker. friends and family do her shopping. the pain is localized primarily around left upper groin. she points to the rami region.
 
the question is if her medical history is contributing to the nonunions, and if anyone would consider surgical intervention, or is there some other successful intervention?
 
thanks in advance for your input.
 
dan

Daniel R. Schlatterer, DO, MS
Vice Chairman, Orthopedic Surgery Residency Program
Atlanta Medical Center

----------- УМЕДХЭБС ЮБУФШ -----------
Вложение не в текстовом формате было извлечено…
Имя     : slide0001_image001.jpg
Тип     : image/jpeg
Размер  : 41745 байтов
Описание: отсутствует
Url     : http://weborto.net:8080/pipermail/ortho/attachments/20101016/cbd4a032/attachment-0005.jpg 
----------- УМЕДХЭБС ЮБУФШ -----------
Вложение не в текстовом формате было извлечено…
Имя     : slide0002_image003.jpg
Тип     : image/jpeg
Размер  : 11594 байтов
Описание: отсутствует
Url     : http://weborto.net:8080/pipermail/ortho/attachments/20101016/cbd4a032/attachment-0006.jpg 
----------- УМЕДХЭБС ЮБУФШ -----------
Вложение не в текстовом формате было извлечено…
Имя     : slide0003_image005.jpg
Тип     : image/jpeg
Размер  : 15808 байтов
Описание: отсутствует
Url     : http://weborto.net:8080/pipermail/ortho/attachments/20101016/cbd4a032/attachment-0007.jpg 
----------- УМЕДХЭБС ЮБУФШ -----------
Вложение не в текстовом формате было извлечено…
Имя     : slide0004_image007.jpg
Тип     : image/jpeg
Размер  : 12246 байтов
Описание: отсутствует
Url     : http://weborto.net:8080/pipermail/ortho/attachments/20101016/cbd4a032/attachment-0008.jpg 
----------- УМЕДХЭБС ЮБУФШ -----------
Вложение не в текстовом формате было извлечено…
Имя     : slide0004_image009.jpg
Тип     : image/jpeg
Размер  : 12382 байтов
Описание: отсутствует
Url     : http://weborto.net:8080/pipermail/ortho/attachments/20101016/cbd4a032/attachment-0009.jpg 


Подробная информация о списке рассылки Ortho