[Ortho] rami nonunions

Milton L. Routt orthoforum на weborto.net
Сб Окт 16 14:00:39 YEKST 2010


Here are a recent patient's example slides...

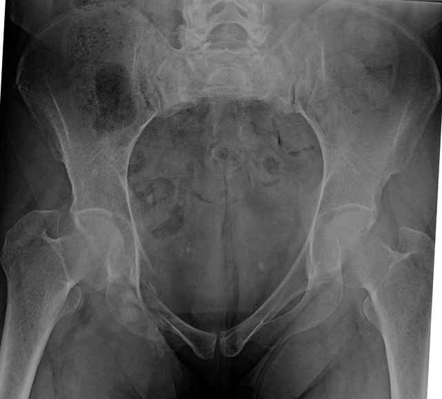
54 yo Female Fell c/o Pain
Initial Films
?Instability on Exam - Limited by Pain
NonOp Initial Mgmt


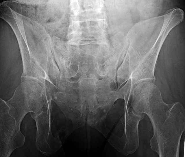
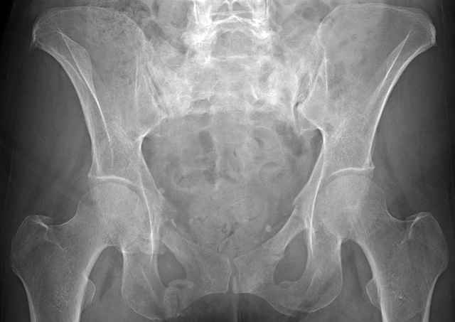
3 Months After Fall
Continued Pain & Immobility
(+) Instability to Compressive Manual Exam


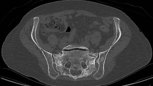
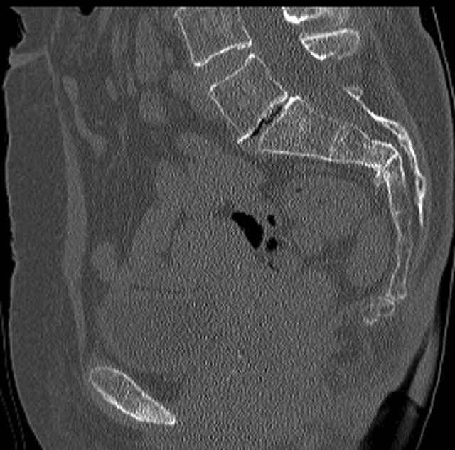
Pelvic CT Scan - 3 Months After Fall 
Sacral Injuries
Ramus Fractures


Percutaneous Fixation
(B) Ramus-Retrograde
2 TransIliac-TransSacral
Upper Segment

mlcr
----------- УМЕДХЭБС ЮБУФШ -----------
Вложение не в текстовом формате было извлечено…
Имя     : slide0002_image001.jpg
Тип     : image/jpeg
Размер  : 34461 байтов
Описание: отсутствует
Url     : http://weborto.net:8080/pipermail/ortho/attachments/20101016/ee9c0fa8/attachment-0008.jpg 
----------- УМЕДХЭБС ЮБУФШ -----------
Вложение не в текстовом формате было извлечено…
Имя     : slide0002_image002.jpg
Тип     : image/jpeg
Размер  : 38781 байтов
Описание: отсутствует
Url     : http://weborto.net:8080/pipermail/ortho/attachments/20101016/ee9c0fa8/attachment-0009.jpg 
----------- УМЕДХЭБС ЮБУФШ -----------
Вложение не в текстовом формате было извлечено…
Имя     : slide0003_image004.jpg
Тип     : image/jpeg
Размер  : 31502 байтов
Описание: отсутствует
Url     : http://weborto.net:8080/pipermail/ortho/attachments/20101016/ee9c0fa8/attachment-0010.jpg 
----------- УМЕДХЭБС ЮБУФШ -----------
Вложение не в текстовом формате было извлечено…
Имя     : slide0004_image006.jpg
Тип     : image/jpeg
Размер  : 39451 байтов
Описание: отсутствует
Url     : http://weborto.net:8080/pipermail/ortho/attachments/20101016/ee9c0fa8/attachment-0011.jpg 
----------- УМЕДХЭБС ЮБУФШ -----------
Вложение не в текстовом формате было извлечено…
Имя     : slide0004_image008.jpg
Тип     : image/jpeg
Размер  : 59520 байтов
Описание: отсутствует
Url     : http://weborto.net:8080/pipermail/ortho/attachments/20101016/ee9c0fa8/attachment-0012.jpg 
----------- УМЕДХЭБС ЮБУФШ -----------
Вложение не в текстовом формате было извлечено…
Имя     : slide0005_image010.jpg
Тип     : image/jpeg
Размер  : 35073 байтов
Описание: отсутствует
Url     : http://weborto.net:8080/pipermail/ortho/attachments/20101016/ee9c0fa8/attachment-0013.jpg 
----------- УМЕДХЭБС ЮБУФШ -----------
Вложение не в текстовом формате было извлечено…
Имя     : slide0005_image012.jpg
Тип     : image/jpeg
Размер  : 38280 байтов
Описание: отсутствует
Url     : http://weborto.net:8080/pipermail/ortho/attachments/20101016/ee9c0fa8/attachment-0014.jpg 
----------- УМЕДХЭБС ЮБУФШ -----------
Вложение не в текстовом формате было извлечено…
Имя     : slide0005_image014.jpg
Тип     : image/jpeg
Размер  : 38952 байтов
Описание: отсутствует
Url     : http://weborto.net:8080/pipermail/ortho/attachments/20101016/ee9c0fa8/attachment-0015.jpg 


Подробная информация о списке рассылки Ortho