[Ortho] Несращение диафиза плечевой кости

Александр Ситник orthoforum на weborto.net
Ср Окт 27 14:10:25 YEKST 2010


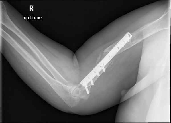
Больная 48 лет, медсестра. Травма получена 7 лет назад, оперирована первично в Турции -
остеосинтез пластиной - несращение - реостеосинтез стержнем там же через год (обычным, с
выстоянеием его в полость плеча) - несращение - поступила к нам впервые в марте 2008 года -
удаление стержня, реостеосинтез пластной и костная пластика, в течение 2 лет лизис кости
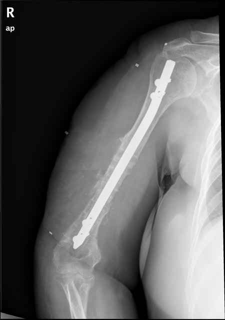
вокруг винтов, смещение фиксатора, в марте 2010 - удаление пластины, реостеосинтез
интрамедуллярным стержнем с блокированием (рассверливание + костная пластика).

В динамике - вновь лизис в области перелома, нестабильность дистальных блокирующих винтов.

Два отягощающих момента: (1)после первых операции имелся неврит
лучевого нерва - в настоящее время все ОК и

(2) лет 9 назад оперирована по поводу заболевания молочной железы с
той же стороны с облучением.

Вопрос: как стимулировать сращение в сложившейся ситуации?
Спасибо, А. Ситник

----------- УМЕДХЭБС ЮБУФШ -----------
Вложение не в текстовом формате было извлечено…
Имя     : image001.jpg
Тип     : image/jpeg
Размер  : 13421 байтов
Описание: отсутствует
Url     : http://weborto.net:8080/pipermail/ortho/attachments/20101027/897c09e8/attachment-0008.jpg 
----------- УМЕДХЭБС ЮБУФШ -----------
Вложение не в текстовом формате было извлечено…
Имя     : image003.jpg
Тип     : image/jpeg
Размер  : 10297 байтов
Описание: отсутствует
Url     : http://weborto.net:8080/pipermail/ortho/attachments/20101027/897c09e8/attachment-0009.jpg 
----------- УМЕДХЭБС ЮБУФШ -----------
Вложение не в текстовом формате было извлечено…
Имя     : image005.jpg
Тип     : image/jpeg
Размер  : 10949 байтов
Описание: отсутствует
Url     : http://weborto.net:8080/pipermail/ortho/attachments/20101027/897c09e8/attachment-0010.jpg 
----------- УМЕДХЭБС ЮБУФШ -----------
Вложение не в текстовом формате было извлечено…
Имя     : image007.jpg
Тип     : image/jpeg
Размер  : 10078 байтов
Описание: отсутствует
Url     : http://weborto.net:8080/pipermail/ortho/attachments/20101027/897c09e8/attachment-0011.jpg 
----------- УМЕДХЭБС ЮБУФШ -----------
Вложение не в текстовом формате было извлечено…
Имя     : image009.jpg
Тип     : image/jpeg
Размер  : 8787 байтов
Описание: отсутствует
Url     : http://weborto.net:8080/pipermail/ortho/attachments/20101027/897c09e8/attachment-0012.jpg 
----------- УМЕДХЭБС ЮБУФШ -----------
Вложение не в текстовом формате было извлечено…
Имя     : image011.jpg
Тип     : image/jpeg
Размер  : 9118 байтов
Описание: отсутствует
Url     : http://weborto.net:8080/pipermail/ortho/attachments/20101027/897c09e8/attachment-0013.jpg 
----------- УМЕДХЭБС ЮБУФШ -----------
Вложение не в текстовом формате было извлечено…
Имя     : image013.jpg
Тип     : image/jpeg
Размер  : 11873 байтов
Описание: отсутствует
Url     : http://weborto.net:8080/pipermail/ortho/attachments/20101027/897c09e8/attachment-0014.jpg 
----------- УМЕДХЭБС ЮБУФШ -----------
Вложение не в текстовом формате было извлечено…
Имя     : image015.jpg
Тип     : image/jpeg
Размер  : 15479 байтов
Описание: отсутствует
Url     : http://weborto.net:8080/pipermail/ortho/attachments/20101027/897c09e8/attachment-0015.jpg 


Подробная информация о списке рассылки Ortho