[Ortho] Ложный сустав локтевого отростка

Ostanin orthoforum на weborto.net
Ср Окт 27 22:46:53 YEKST 2010


2 Adonin Вами столь любимая COO 11 имеется, заглянул с самого начала, посему про "убрал и
выкинул" подумал в 1 очередь:)


2 Курышев Данила - согласен про мягко говоря неудачный
первичный синтез и про удаление мыщелка. Не совсем понимаю оправданность применения
пластин при апофизарных переломах, но если кому-то хочется... их право. С момента операции
прошло уже полтора года. Поэтому мысль об удачном синтезе и возможности сращения отсылает
напрямую к посту Андрея Петровича.

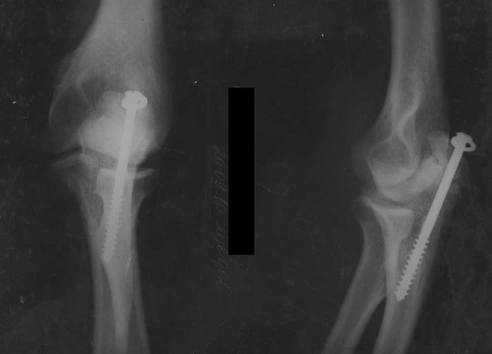
2 всем
Обещанные снимки.
Ostanin
----------- УМЕДХЭБС ЮБУФШ -----------
Вложение не в текстовом формате было извлечено…
Имя     : Scan10030.jpg
Тип     : image/jpeg
Размер  : 16947 байтов
Описание: отсутствует
Url     : http://weborto.net:8080/pipermail/ortho/attachments/20101027/9ff00cf9/attachment-0001.jpg 


Подробная информация о списке рассылки Ortho