[Ortho] травма голеностопа - мнения по тактике

Александр Артемьев orthoforum на weborto.net
Ср Окт 27 23:03:56 YEKST 2010


Уважаемые коллеги.
Хочу представить на обсуждение следующий случай.
Пациент 28 лет.
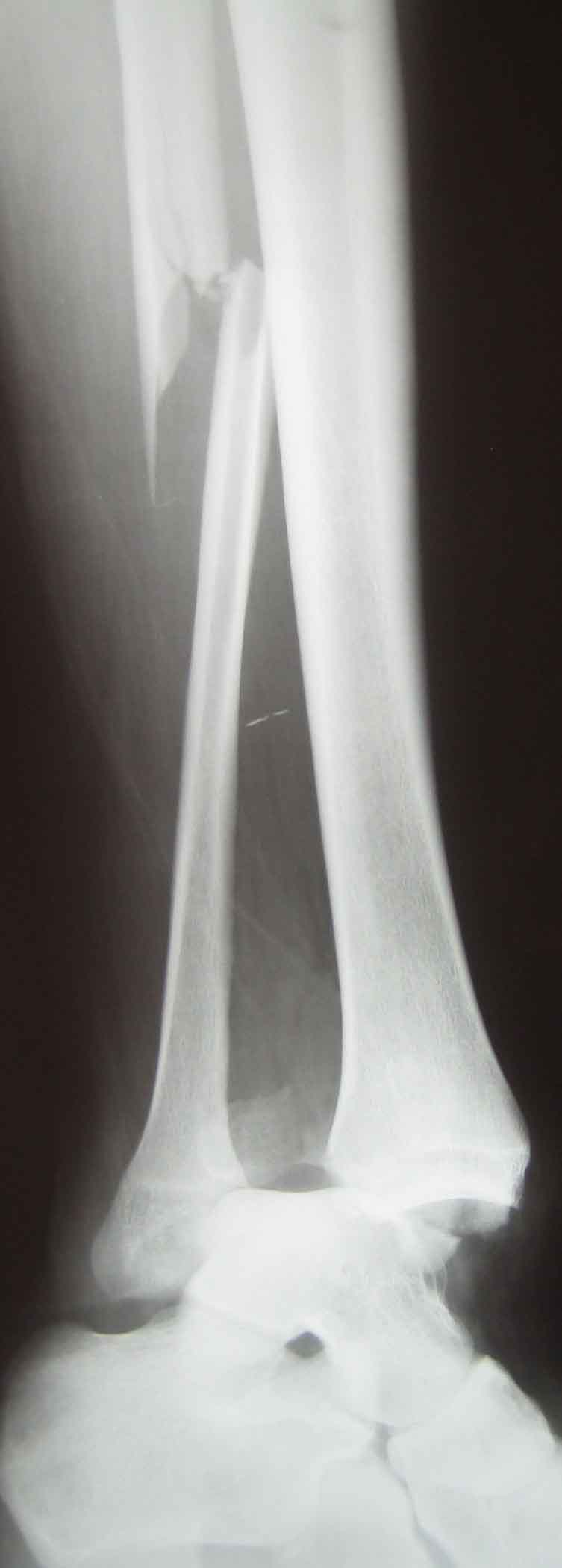
Д-з: закрытый переломо-вывих правого голеностопного сустава, перелом
внутренней лодыжки и заднего края большеберцовой кости, перелом
малоберцовой кости в средней трети, разрыв межберцового синдесмоза,
вывих стопы. 

Дополнительные сведения:
- в мои объятия попал через 40 мин. после травмы;
- ответственный человек, соблюдающий все рекомендации;
- готов оплатить любой вид лечения;
Какую тактику предложили бы Вы
- при поступлении
- при выборе метода окончательной фиксации.
Голову никому морочить не собираюсь. Случай 6-месячной давности.
Лечение прошло успешно к удовольствию всех.  Поромежуточные и
окончательные картинки выложу через несколько дней.
Цель демонстрации и обсуждения - выяснить, насколько избранная в
данном конкретном случае тактика лечения совпадает с своременными
представлениями о лечении подобных травм.

 С уважением Александр Артемьев
      Мытищи
      www.nogihelp.ru
----------- УМЕДХЭБС ЮБУФШ -----------
Вложение не в текстовом формате было извлечено…
Имя     : 14.jpg
Тип     : image/jpeg
Размер  : 47290 байтов
Описание: отсутствует
Url     : http://weborto.net:8080/pipermail/ortho/attachments/20101027/c4491ac2/attachment-0001.jpg 


Подробная информация о списке рассылки Ortho