[Ortho] THA после гнойного коксита

Maxim Agalakov orthoforum на weborto.net
Ср Окт 27 23:21:15 YEKST 2010


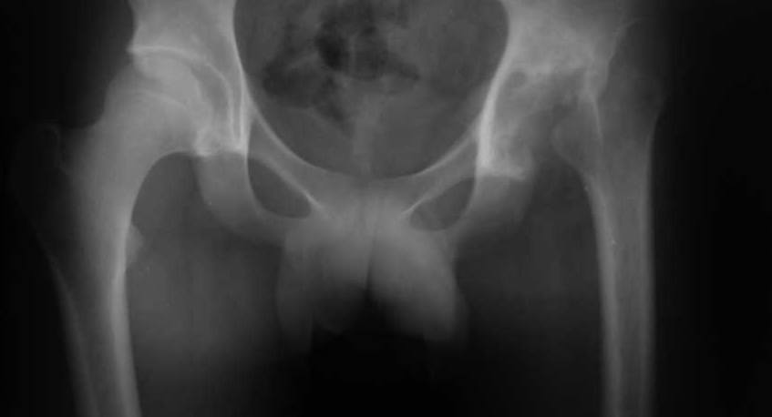
Ув. коллеги. пациент 19 лет, 4 мес назад перене гнойный коксит с затеками и т.д, 3 мес назад -
резекция головки, санирование очага. В настоящее время, кровь спокойная, СРБ - отр, рана
зажила первично. Свищей нет и не было, т-ра в N. В какие сроки, по вашему мнению, целесообразно
выполнить эндопротезирование, какие критерии?
С уважением, Максим Агалаков, Е-бург.
----------- УМЕДХЭБС ЮБУФШ -----------
Вложение не в текстовом формате было извлечено…
Имя     : таз.jpg
Тип     : image/jpeg
Размер  : 15126 байтов
Описание: отсутствует
Url     : http://weborto.net:8080/pipermail/ortho/attachments/20101027/1b4aaacd/attachment-0001.jpg 


Подробная информация о списке рассылки Ortho