[Ortho] Нагноение после интрамедуллярного остеосинтеза

Александр Ситник orthoforum на weborto.net
Сб Окт 30 05:39:19 YEKST 2010


Уважаемые коллеги, спасибо всем за участие. Сегодня просто просмативал
старые страницы, да и пациента http://weborto.net/forum/1208623052
относительно недавно вспоминали. Случай подошел к логическому
завершению:  

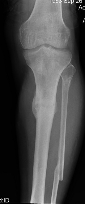
Итак - удалили стержень, воспалительный процесс к тому моменту
купирован, наложили кастовую повязку и в течение 3 месяцев на
контрольных рентгенограммах - признаки консолидации. Уже в сентябре,
т.е черз 5 месяцев после нагноения пациент вернувшиь с подвождной
охоты привез здорового сазана - основная жалоба - ноги побаливают
после длительного лпаваня в ластах. Прилагаю снимки через год после
удаления стержня. Вот такая, на этот раз счастливая казуистика.

Еще раз спасибо,

А. Ситник
----------- УМЕДХЭБС ЮБУФШ -----------
Вложение не в текстовом формате было извлечено…
Имя     : Bobr 0907150001.jpg
Тип     : image/jpeg
Размер  : 36179 байтов
Описание: отсутствует
Url     : http://weborto.net:8080/pipermail/ortho/attachments/20101030/27b03ed6/attachment-0001.jpg 


Подробная информация о списке рассылки Ortho