[Ortho] Перипротезный перелом

Alexander Chelnokov orthoforum на weborto.net
Сб Окт 30 06:44:38 YEKST 2010


Приветствую, дорогие коллеги

Прдолжение обсуждения годичной давности http://weborto.net/forum/1256380983/

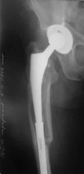
Пациента удалось осмотреть недавно. Достигнутый результат сохраняется.
Перелом бедра сросся. Конечность опорная и безболезненная, ходит без
трости. Ножка, похоже, реинтегрировалась, как и надеялись.

Снимки и фото в приложении.
Комментарии приветствуются.

Надо ли что-то делать дальше, как полагаете? Убрать винты? Убрать
"удлинитель ножки"? Или оставить все, как есть? Спасибо заранее.

-- 
Best regards,
 Alexander N. Chelnokov
Ural Scientific Research Institute 
of Traumatology and Orthopaedics
7, Bankovsky str. Ekaterinburg 620014 Russia

----------- УМЕДХЭБС ЮБУФШ -----------
Вложение не в текстовом формате было извлечено…
Имя     : get_image1.jpg
Тип     : image/jpeg
Размер  : 11958 байтов
Описание: отсутствует
Url     : http://weborto.net:8080/pipermail/ortho/attachments/20101030/1053b79a/attachment-0006.jpg 
----------- УМЕДХЭБС ЮБУФШ -----------
Вложение не в текстовом формате было извлечено…
Имя     : get_image2.jpg
Тип     : image/jpeg
Размер  : 26385 байтов
Описание: отсутствует
Url     : http://weborto.net:8080/pipermail/ortho/attachments/20101030/1053b79a/attachment-0007.jpg 
----------- УМЕДХЭБС ЮБУФШ -----------
Вложение не в текстовом формате было извлечено…
Имя     : get_image3.jpg
Тип     : image/jpeg
Размер  : 5161 байтов
Описание: отсутствует
Url     : http://weborto.net:8080/pipermail/ortho/attachments/20101030/1053b79a/attachment-0008.jpg 
----------- УМЕДХЭБС ЮБУФШ -----------
Вложение не в текстовом формате было извлечено…
Имя     : get_image4.jpg
Тип     : image/jpeg
Размер  : 4231 байтов
Описание: отсутствует
Url     : http://weborto.net:8080/pipermail/ortho/attachments/20101030/1053b79a/attachment-0009.jpg 
----------- УМЕДХЭБС ЮБУФШ -----------
Вложение не в текстовом формате было извлечено…
Имя     : get_image5.jpg
Тип     : image/jpeg
Размер  : 3032 байтов
Описание: отсутствует
Url     : http://weborto.net:8080/pipermail/ortho/attachments/20101030/1053b79a/attachment-0010.jpg 
----------- УМЕДХЭБС ЮБУФШ -----------
Вложение не в текстовом формате было извлечено…
Имя     : get_image6.jpg
Тип     : image/jpeg
Размер  : 4779 байтов
Описание: отсутствует
Url     : http://weborto.net:8080/pipermail/ortho/attachments/20101030/1053b79a/attachment-0011.jpg 


Подробная информация о списке рассылки Ortho