[Ortho] травма голеностопа - мнения по тактике лечения

Artemiev alex_artemiev на mail.ru
Вт Окт 26 23:44:23 YEKST 2010


Вложение в формате HTML было извлечено…
URL: http://weborto.net:8080/pipermail/ortho/attachments/20101026/e044de93/attachment-0001.htm 
----------- следущая часть -----------
Вложение не в текстовом формате было извлечено…
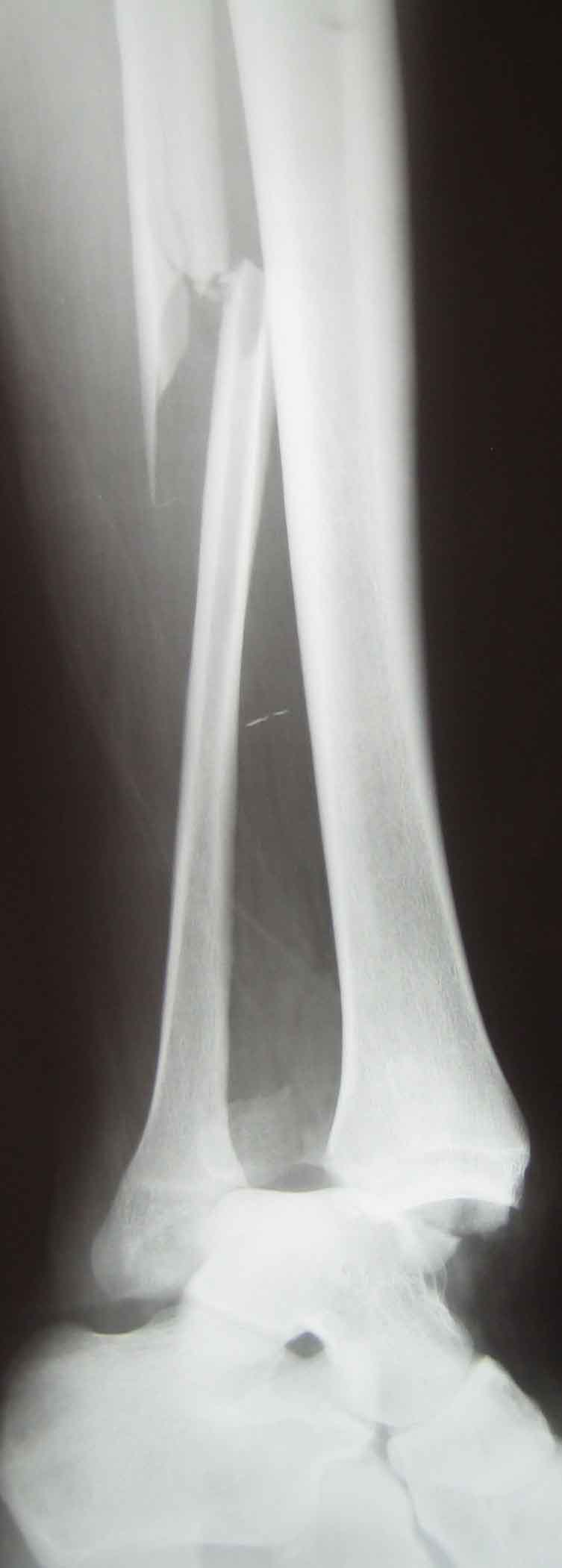
Имя     : 13.jpg
Тип     : image/jpeg
Размер  : 35184 байтов
Описание: отсутствует
Url     : http://weborto.net:8080/pipermail/ortho/attachments/20101026/e044de93/attachment-0002.jpg 
----------- следущая часть -----------
Вложение не в текстовом формате было извлечено…
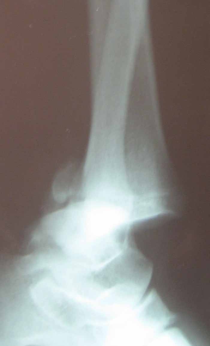
Имя     : 14.jpg
Тип     : image/jpeg
Размер  : 47290 байтов
Описание: отсутствует
Url     : http://weborto.net:8080/pipermail/ortho/attachments/20101026/e044de93/attachment-0003.jpg 


Подробная информация о списке рассылки Ortho