[Ortho] Внутрисуставные переломы проксимального отдела плеча

Николай orthoforum на weborto.net
Пн Сен 13 13:40:12 YEKST 2010


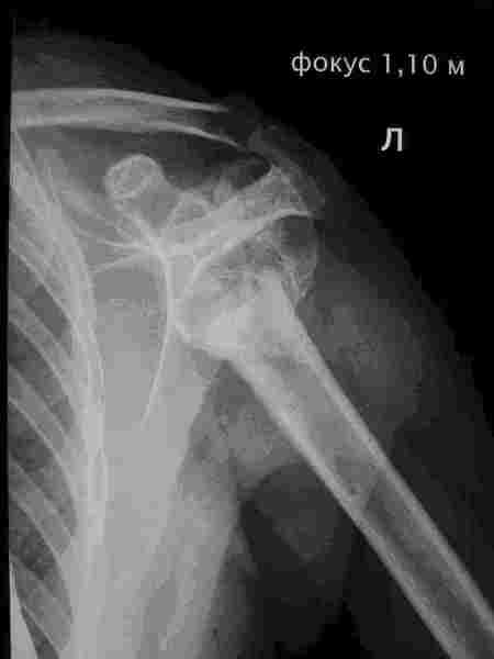
Вот молодая женщина 38 лет, обратилась с жалобами на ограничение активных движений в правом
плечевом суставе и незначительные боли. 2 года назад после ДТП получила раздробленный
перелом проксимального отдела левого плеча. Выполнялся накостный остеосинтез с
последующим удалением пластины через 7 мес. В настоящее время объем активных отведения и
сгибания в левом плечевом суставе в пределах 30-40 градусов, далее с лопаткой. На
рентгенограммах определяется ложный сустав хирургической шейки (фиброзное сращение). Ну
и как здесь поступить? Чем реально можно помочь? Клинически - сильных болей нет и есть
какие-то движения, может и воздержаться от операции. С другой стороны, особенно когда
смотришь на рентгены - надо оперировать. Но что делать? в доступной иностранной литературе
алгоритма для этого случая нет (может потому что у них наверно нет таких больных). Накостный
реостеосинтез - но утрачена суставная поверхность плеча. Эндопротезирование
(гемиартропластика) с дефрагментацией всего проксимального отдела и попыткой выделения и
релиза ротаторов на большом и малом бугорках - но возможно это технически не возможно, да и
даже если возможно, то функция сомнительна в силу давности процесса. Реверсивное тотальное
эндопротезирование - удерживает молодой возраст. Итого одни ???????????
Николай

----------- УМЕДХЭБС ЮБУФШ -----------
Вложение не в текстовом формате было извлечено…
Имя     : Плечо.jpg
Тип     : image/jpeg
Размер  : 15001 байтов
Описание: отсутствует
Url     : http://weborto.net:8080/pipermail/ortho/attachments/20100913/63f89673/attachment-0001.jpg 


Подробная информация о списке рассылки Ortho