[Ortho] Прелом голени

Евгений orthoforum на weborto.net
Вт Сен 14 04:46:16 YEKST 2010


Здравствуйте, уважаемые коллеги. Поступила пациентка 47 лет, 9.09.10 упала с крыши одноэтажного дома на правую ногу.
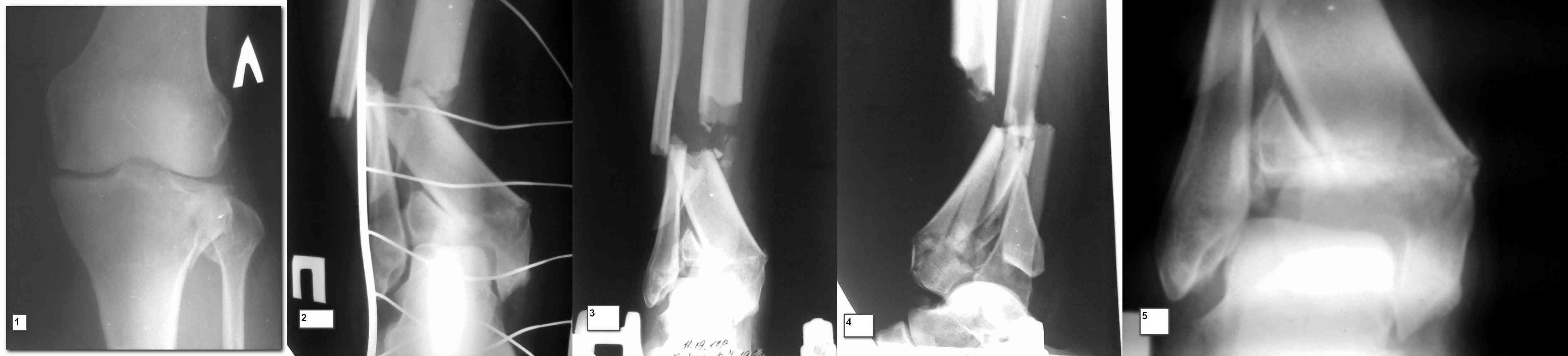
Диагноз: закрытый внутрисуставный перелом внешнего мыщелка левой большеберцовой кости со смещением. Закрытый внутрисуставный многооскольчатый перелом нижней трети и дистального метаэпифиза правой большеберцевой кости со смещением.

На коже в области внутренней лодыжки правой голени эпидермальный пузырь с прозрачной жидкостью до 3.5 см в диаметре, сразу под кожей пальпируется костный фрагмент, в остальном кожа нормальная. Отёка нет. Находится на скелетном вытяжении с весом 6 кг за правую пятку.

Рентгенограммы:
1. левый коленный сустав
2. правая голень при поступлении (9.09)
3. правая голень на вытяжении 6 кг (11.09)

Предварительно планируем подержать на вытяжении до заживления кожи в области пузыря. Переде-медиальным доступом открыть место перелома и суставную поверхность, репозиция промежуточного отломка по центральному, низвести шилом закрыто задний фрагмент суставной поверхности, фоксировать винтом в сагиттальной плоскости, после чего пластина-мост по медиальной поверхности с отдельными винтами или спицами для фиксации отломков суставной поверхности. Адекватной стабильности вряд ли удастся добиться – гипсовая повязка.
Поделитесь, пожалуйста, опытом лечения подобных травм.
----------- УМЕДХЭБС ЮБУФШ -----------
Вложение не в текстовом формате было извлечено…
Имя     : 1.jpg
Тип     : image/jpeg
Размер  : 83685 байтов
Описание: отсутствует
Url     : http://weborto.net:8080/pipermail/ortho/attachments/20100914/866aa642/attachment-0001.jpg 


Подробная информация о списке рассылки Ortho