[Ortho] Последствия открытого перелома дистального отдела бедра

Djoldas Kuldjanov orthoforum на weborto.net
Пт Сен 17 02:22:40 YEKST 2010


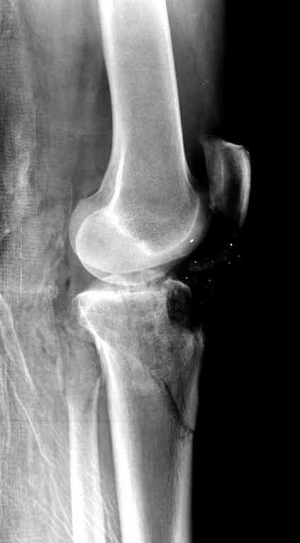
Все ипсилатеральные переломы относятся к категории нестабильных, и лечение их бывает сложным из-за двойного перелома вокруг сустава (floating joint). Основная тактика состоит в проведении поэтапного лечения с окончательной  фиксацией cуставной поверхности.

На первом этапе с задачей справляется наружный фиксатор, который создает благоприятные условия для закрытия ран и контролирует длину конечности. На данном этапе рекомендована КТ, чтобы увидеть топографию фрагментов для расчета направления фиксирующих элементов.

Состояние мягкотканого покрытия подскажет о готовности к окончательной фиксации. При дефектах кости придерживаются тактики максимального сохранения костной массы.

На вашем снимке из-за ротации трудно угадать положение пластины, и желательно сделать снимок с захватом верхнего участка бедра.
Одинокий кортикальный шуруп не удержит тибиальный бугор, сустав тибиал плато оставлен без репозиции и фиксации.

План с протезированием чересчур агрессивный, больная слишком молодая. В данный момент для  удержания конструкции необходимо установить наружный фиксатор между бедром и голенью. Обработку продолжать с применением антибиотиков и вакуумирования.
Возможно, удастся сохранить из того, что осталось, или перевести больную в стационар где имееюся адекватные условия.

Здесь применение материала Plexur http://www.plexur.com для пластики при дефектах кости у больной с огнестрельной раной латерального тибиал плато с повреждением малоберцового нерва. Несмотря на интактный медиальный мышелок, для профилактики от вальгуса установлен АВФ и сделана ангиограмма.

После нескольких обработок и вакуумирования, поэтапно сделана фиксация тибиального бугра шурупами. И окончательную фиксацию закончили латеральной пластиной для тибиал плато и установкой пластического материала.
Для закрытия мягкотканых дефектов привлечена другая служба.

Djoldas Kuldjanov, MD
Department of Orthopedic Surgery
St. Louis University Medical Center
----------- УМЕДХЭБС ЮБУФШ -----------
Вложение не в текстовом формате было извлечено…
Имя     : 1injury.jpg
Тип     : image/jpeg
Размер  : 16518 байтов
Описание: отсутствует
Url     : http://weborto.net:8080/pipermail/ortho/attachments/20100916/5950b106/attachment-0009.jpg 
----------- УМЕДХЭБС ЮБУФШ -----------
Вложение не в текстовом формате было извлечено…
Имя     : 2 injury.jpg
Тип     : image/jpeg
Размер  : 20063 байтов
Описание: отсутствует
Url     : http://weborto.net:8080/pipermail/ortho/attachments/20100916/5950b106/attachment-0010.jpg 
----------- УМЕДХЭБС ЮБУФШ -----------
Вложение не в текстовом формате было извлечено…
Имя     : 4  GSW preflexur.jpg
Тип     : image/jpeg
Размер  : 27382 байтов
Описание: отсутствует
Url     : http://weborto.net:8080/pipermail/ortho/attachments/20100916/5950b106/attachment-0011.jpg 
----------- УМЕДХЭБС ЮБУФШ -----------
Вложение не в текстовом формате было извлечено…
Имя     : 8 angio.jpg
Тип     : image/jpeg
Размер  : 17986 байтов
Описание: отсутствует
Url     : http://weborto.net:8080/pipermail/ortho/attachments/20100916/5950b106/attachment-0012.jpg 
----------- УМЕДХЭБС ЮБУФШ -----------
Вложение не в текстовом формате было извлечено…
Имя     : 9 angio.jpg
Тип     : image/jpeg
Размер  : 18024 байтов
Описание: отсутствует
Url     : http://weborto.net:8080/pipermail/ortho/attachments/20100916/5950b106/attachment-0013.jpg 
----------- УМЕДХЭБС ЮБУФШ -----------
Вложение не в текстовом формате было извлечено…
Имя     : 12 tubercul fix.jpg
Тип     : image/jpeg
Размер  : 14949 байтов
Описание: отсутствует
Url     : http://weborto.net:8080/pipermail/ortho/attachments/20100916/5950b106/attachment-0014.jpg 
----------- УМЕДХЭБС ЮБУФШ -----------
Вложение не в текстовом формате было извлечено…
Имя     : 13 tubercul fix.jpg
Тип     : image/jpeg
Размер  : 14826 байтов
Описание: отсутствует
Url     : http://weborto.net:8080/pipermail/ortho/attachments/20100916/5950b106/attachment-0015.jpg 
----------- УМЕДХЭБС ЮБУФШ -----------
Вложение не в текстовом формате было извлечено…
Имя     : 18 GSW I на D.jpg
Тип     : image/jpeg
Размер  : 27006 байтов
Описание: отсутствует
Url     : http://weborto.net:8080/pipermail/ortho/attachments/20100916/5950b106/attachment-0016.jpg 
----------- УМЕДХЭБС ЮБУФШ -----------
Вложение не в текстовом формате было извлечено…
Имя     : 21 gsw preflexur size 2.jpg
Тип     : image/jpeg
Размер  : 29162 байтов
Описание: отсутствует
Url     : http://weborto.net:8080/pipermail/ortho/attachments/20100916/5950b106/attachment-0017.jpg 


Подробная информация о списке рассылки Ortho