[Ortho] Перелом голени

Djoldas Kuldjanov orthoforum на weborto.net
Вс Сен 26 10:36:13 YEKST 2010


В остром периоде для стабилизации перелома подойдет любой
дистракционный аппарат "голень-стопа", и больной получит свободу от
скелетного вытяжения.

Из нашего опыта при переломах голени с высокой энергией одним из
частых осложнении является компартмент синдром, но КС наблюдается при
переломах тибиал плато чаще, чем при дистальных переломах голени.  
КС является временным, переходящим в необратимый процесс, и после
нескольких дней нельзя восстановить потерянную функцию нерва и мыщц
фасциотомией. Нет ли тут КС, лечащие врачи могут уточнить
обследованием неврологического статуса и функции мышц на голени. Это
необходимо для документации и для разработки тактики дальнейшего
лечения.   
 
Больному 46 лет, активный, молодой, и не стоит так долго держать на
вытяжении. Тем более, АВФ комфортабельнее, лучше переносят, а при
односторонних повреждениях больные могут передвигаться с помощью
костылей без посторонней помощи.
 
Мы применяем обычные стержневые аппараты, но у кольцевых свои
имущества, их в нужный момент с помощью дополнительных колец или спиц
можно превратить в постоянный.  
 
>"мыщелок левой голени будет прооперирован - репозиция, синтез пластиной с костной пластикой, при необходимости удаление повреждённой части мениска"
 
Для внутрисуставных переломов необходимо идеальное сопоставление, а
такая задача без КТ срезов усложнится. Только КТ надо делать после
дистракции сустава, иначе нельзя получить  объективную информацию.
 
Около 60% переломов тибиал плато характеризуются  мягкоткаными
повреждениямм - разрывы суставной капсулы, связок и менисков. Мениск
повреждается спереди со стороны перелома.
 
Тактику удаления мениска во время восстановления считаю ошибочной,
наоборот, всеми путями надо его сохранить, потому что предупреждает от
деформирующего артроза.  
 
"Removal of a meniscus during the fracture surgery resulted in
secondary degeneration in 74% of the cases. When a meniscus was intact
or repaired, the proportion of degenerative cases was only 37%. Normal
or slight valgus alignment of the tibial plateau with intact menisci
protected best against secondary degeneration. On the other hand,
medial or lateral tilt of the tibial plateau with a removed meniscus
was followed by osteoarthritis in most cases. Honkonen SE.,  J Orthop
Trauma. 1995"       
 
Основная задача в лечении околосуставных переломов является создание
солидного базиса в субхондральной зоне. Пластина подпорка (Butress)
или субхондральные перкутанные шурупы в виде плота (Raft) для ранних
движении.   
(из доклада, который будет представлен на Вреденовских чтениях 8-9
Октября 2010 в Санкт-Питербурге). 
 
У больного двухстороннее повреждение, ограничен в нагрузке не менее
8-10 недель. После односторонней фиксации будет активным, хотя бы в
пределах койки. Без спешки дождаться улучшения кожных покровов, и
аппаратом Илизарова в комбинации с шурупами или спицами, из
мини-доступов.    
 
>"Взял разные пластины - Т и Г образные большеберцовые мыщелковые пластины максимальной имеющейся длины, DCP пластину"
 
Все названные пластины не пригодны для фиксации мельких фрагментов.
Сейчась многие компании имеют периартикулярные пластины достаточной
длины с возможностью установки в мульти аксиальном направлении более
тонкими шурупами вместо 3.5мм. Шурупы 2.7 мм не раскалывая позволяет
удержать фрагменты в дистальном сегменте.    
 
 
http://www.depuy.com/sites/default/files/products/files/DO_ALPS_Distal_Tibia_Plating_System_Surgical_Technique_0612-64-506r9.pdf>
Пластина от DePuy отвечает всем требованиям, но могут быть и другие
варианты. Репозицию закончивается костной пластикой или заполнением
синтетическими заменителями иначе поведет в варус.  
 
Отсутствие материала не причина не делать хорошую репозицию, или лучше
перевести больного туда, где больше возможностей. Александр прав,
вместо пластины предпочтительным будет фиксировать аппаратом Илизарова.  
 
Насчет артродеза, сустав то не очень хороший, и в зависимости от
полученного результата, кто даст гарантию, что не продолжим дискуссию
очень скоро...
Djoldas Kuldjanov
----------- УМЕДХЭБС ЮБУФШ -----------
Вложение не в текстовом формате было извлечено…
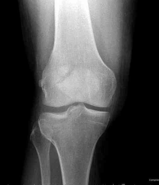
Имя     : 1 lat tib plateau AP.jpg
Тип     : image/jpeg
Размер  : 14431 байтов
Описание: отсутствует
Url     : http://weborto.net:8080/pipermail/ortho/attachments/20100926/dbcec959/attachment-0012.jpg 
----------- УМЕДХЭБС ЮБУФШ -----------
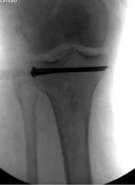
Вложение не в текстовом формате было извлечено…
Имя     : 2 lat tib plateau lat.jpg
Тип     : image/jpeg
Размер  : 16876 байтов
Описание: отсутствует
Url     : http://weborto.net:8080/pipermail/ortho/attachments/20100926/dbcec959/attachment-0013.jpg 
----------- УМЕДХЭБС ЮБУФШ -----------
Вложение не в текстовом формате было извлечено…
Имя     : 3 lat tib plateau CT2.jpg
Тип     : image/jpeg
Размер  : 53226 байтов
Описание: отсутствует
Url     : http://weborto.net:8080/pipermail/ortho/attachments/20100926/dbcec959/attachment-0014.jpg 
----------- УМЕДХЭБС ЮБУФШ -----------
Вложение не в текстовом формате было извлечено…
Имя     : 4 lat tib plateau CT.jpg
Тип     : image/jpeg
Размер  : 50105 байтов
Описание: отсутствует
Url     : http://weborto.net:8080/pipermail/ortho/attachments/20100926/dbcec959/attachment-0015.jpg 
----------- УМЕДХЭБС ЮБУФШ -----------
Вложение не в текстовом формате было извлечено…
Имя     : 5 meniscal approach.jpg
Тип     : image/jpeg
Размер  : 55138 байтов
Описание: отсутствует
Url     : http://weborto.net:8080/pipermail/ortho/attachments/20100926/dbcec959/attachment-0016.jpg 
----------- УМЕДХЭБС ЮБУФШ -----------
Вложение не в текстовом формате было извлечено…
Имя     : 6 meniscal approach 02.jpg
Тип     : image/jpeg
Размер  : 56997 байтов
Описание: отсутствует
Url     : http://weborto.net:8080/pipermail/ortho/attachments/20100926/dbcec959/attachment-0017.jpg 
----------- УМЕДХЭБС ЮБУФШ -----------
Вложение не в текстовом формате было извлечено…
Имя     : 7 meniscal approach 2.jpg
Тип     : image/jpeg
Размер  : 41710 байтов
Описание: отсутствует
Url     : http://weborto.net:8080/pipermail/ortho/attachments/20100926/dbcec959/attachment-0018.jpg 
----------- УМЕДХЭБС ЮБУФШ -----------
Вложение не в текстовом формате было извлечено…
Имя     : 8 tibial plateau po.jpg
Тип     : image/jpeg
Размер  : 11617 байтов
Описание: отсутствует
Url     : http://weborto.net:8080/pipermail/ortho/attachments/20100926/dbcec959/attachment-0019.jpg 
----------- УМЕДХЭБС ЮБУФШ -----------
Вложение не в текстовом формате было извлечено…
Имя     : 9 tibial plateau po lat.jpg
Тип     : image/jpeg
Размер  : 11203 байтов
Описание: отсутствует
Url     : http://weborto.net:8080/pipermail/ortho/attachments/20100926/dbcec959/attachment-0020.jpg 
----------- УМЕДХЭБС ЮБУФШ -----------
Вложение не в текстовом формате было извлечено…
Имя     : 10 raft technique.jpg
Тип     : image/jpeg
Размер  : 55979 байтов
Описание: отсутствует
Url     : http://weborto.net:8080/pipermail/ortho/attachments/20100926/dbcec959/attachment-0021.jpg 
----------- УМЕДХЭБС ЮБУФШ -----------
Вложение не в текстовом формате было извлечено…
Имя     : percutaneus fixation 3.jpg
Тип     : image/jpeg
Размер  : 15581 байтов
Описание: отсутствует
Url     : http://weborto.net:8080/pipermail/ortho/attachments/20100926/dbcec959/attachment-0022.jpg 
----------- УМЕДХЭБС ЮБУФШ -----------
Вложение не в текстовом формате было извлечено…
Имя     : percutaneus fixation2.jpg
Тип     : image/jpeg
Размер  : 36168 байтов
Описание: отсутствует
Url     : http://weborto.net:8080/pipermail/ortho/attachments/20100926/dbcec959/attachment-0023.jpg 


Подробная информация о списке рассылки Ortho