[Ortho] чрезмыщелковый перелом - возможность улучшения функции?

Anton Vladzymyrskyy avv_mobile на mail.ru
Пн Сен 27 16:35:38 YEKST 2010


Уважаемые коллеги!

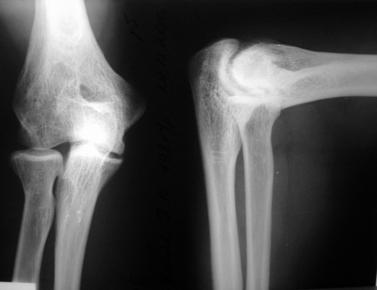
Выскажите, пожалуйста, свое мнение по данному случаю. Пациент очень решительно настроен прооперироваться с целью улучшения функции.

Мужчина, 29 лет. В 15 лет - спортивная травма, закрытый чрезмыщелковый перелом правой плечевой кости со смещением. Лечился консервативно. В настоящее время предъявляет жалобы на ограничение сгибания, повышенную утомляемость.
Объективно: сгибание до 100 гр., разгибание до 170. Неврологических и циркуляторных расстройств нет.
Вопрос: возможность хирургического лечения с целью улучшения функции (вид, детали, прогноз)? 

Заранее благодарю!

С уважением,
А.В.Владзимирский
ДНИИТО


----------- следущая часть -----------
Вложение не в текстовом формате было извлечено…
Имя     : отсутствует
Тип     : image/jpeg
Размер  : 63511 байтов
Описание: отсутствует
Url     : http://weborto.net:8080/pipermail/ortho/attachments/20100927/ce72d474/attachment-0001.jpeg 


Подробная информация о списке рассылки Ortho