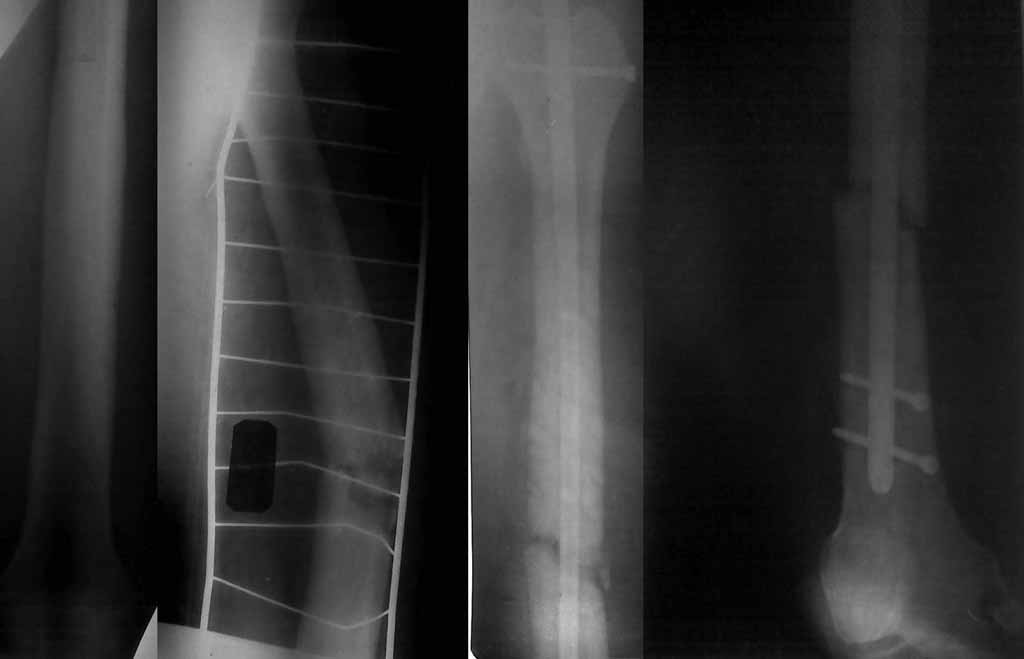
[Ortho] Патологический перелом бедра

"Евгений" orthoforum на weborto.net
Вт Апр 5 04:14:59 YEKST 2011


Здравствуйте, коллеги. Досылаю рентгенограммы, качество низкое, извините. 

Евгений
----------- следущая часть -----------
Вложение не в текстовом формате было извлечено…
Имя     : 2011-04-05_000431.jpg
Тип     : image/jpg
Размер  : 30787 байтов
Описание: отсутствует
Url     : http://weborto.net:8080/pipermail/ortho/attachments/20110405/e735de94/attachment-0001.jpg 


Подробная информация о списке рассылки Ortho