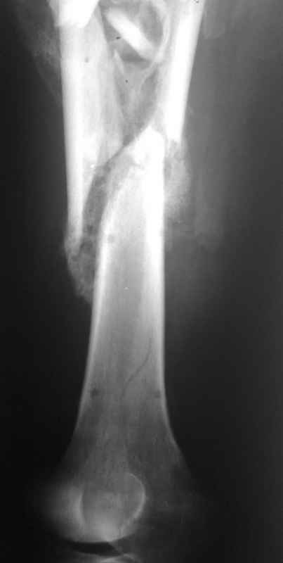
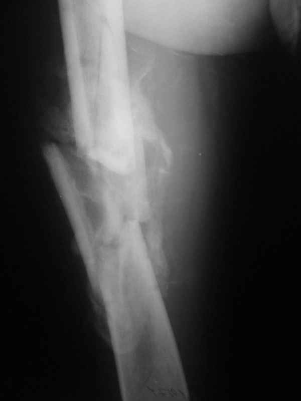
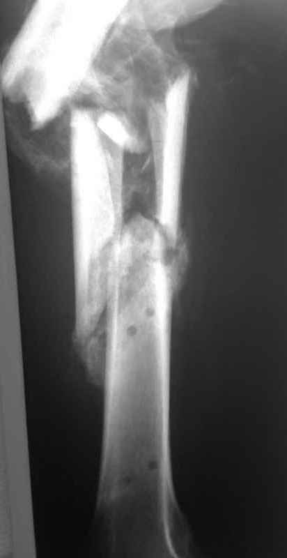
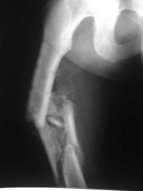
[Ortho] Неправильно срастающийся оскольчатый перелом бедра

Сергей Дукер orthoforum на weborto.net
Ср Апр 6 19:09:20 YEKST 2011


R
Сергей Дукер
----------- УМЕДХЭБС ЮБУФШ -----------
Вложение не в текстовом формате было извлечено…
Имя     : 005.jpg
Тип     : image/jpeg
Размер  : 16414 байтов
Описание: отсутствует
Url     : http://weborto.net:8080/pipermail/ortho/attachments/20110406/c06e2959/attachment-0004.jpg 
----------- УМЕДХЭБС ЮБУФШ -----------
Вложение не в текстовом формате было извлечено…
Имя     : 002.jpg
Тип     : image/jpeg
Размер  : 13116 байтов
Описание: отсутствует
Url     : http://weborto.net:8080/pipermail/ortho/attachments/20110406/c06e2959/attachment-0005.jpg 
----------- УМЕДХЭБС ЮБУФШ -----------
Вложение не в текстовом формате было извлечено…
Имя     : 003.jpg
Тип     : image/jpeg
Размер  : 16020 байтов
Описание: отсутствует
Url     : http://weborto.net:8080/pipermail/ortho/attachments/20110406/c06e2959/attachment-0006.jpg 
----------- УМЕДХЭБС ЮБУФШ -----------
Вложение не в текстовом формате было извлечено…
Имя     : 004.jpg
Тип     : image/jpeg
Размер  : 15053 байтов
Описание: отсутствует
Url     : http://weborto.net:8080/pipermail/ortho/attachments/20110406/c06e2959/attachment-0007.jpg 


Подробная информация о списке рассылки Ortho