[Ortho] гонартроз

" Эдуард Кудяблик " orthoforum на weborto.net
Чт Апр 7 19:33:56 YEKST 2011


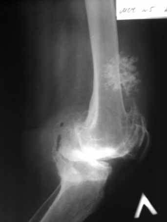
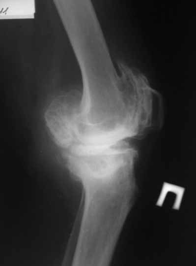
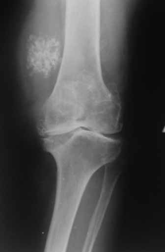
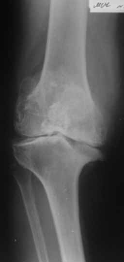
Пациентка 72 лет.Не обследовалась и не лечилась.

Работала поварихой до последнего времени. обратилась за медпомощью впервые. ходит без
дополнительной опоры. Основные жалобы на ограничение движений и боли в правом коленном
суставе. Финансовые возможности ограничены. Чем можно помочь? Артродез? Протезирование?
Эдуард Кудяблик
----------- следущая часть -----------
Вложение не в текстовом формате было извлечено…
Имя     : Слайд1.jpg
Тип     : image/jpg
Размер  : 59327 байтов
Описание: отсутствует
Url     : http://weborto.net:8080/pipermail/ortho/attachments/20110407/6f0973a5/attachment-0006.jpg 
----------- следущая часть -----------
Вложение не в текстовом формате было извлечено…
Имя     : Слайд2.jpg
Тип     : image/jpg
Размер  : 19316 байтов
Описание: отсутствует
Url     : http://weborto.net:8080/pipermail/ortho/attachments/20110407/6f0973a5/attachment-0007.jpg 
----------- следущая часть -----------
Вложение не в текстовом формате было извлечено…
Имя     : Слайд3.jpg
Тип     : image/jpg
Размер  : 16409 байтов
Описание: отсутствует
Url     : http://weborto.net:8080/pipermail/ortho/attachments/20110407/6f0973a5/attachment-0008.jpg 
----------- следущая часть -----------
Вложение не в текстовом формате было извлечено…
Имя     : Слайд4.jpg
Тип     : image/jpg
Размер  : 14452 байтов
Описание: отсутствует
Url     : http://weborto.net:8080/pipermail/ortho/attachments/20110407/6f0973a5/attachment-0009.jpg 
----------- следущая часть -----------
Вложение не в текстовом формате было извлечено…
Имя     : Слайд5.jpg
Тип     : image/jpg
Размер  : 16719 байтов
Описание: отсутствует
Url     : http://weborto.net:8080/pipermail/ortho/attachments/20110407/6f0973a5/attachment-0010.jpg 
----------- следущая часть -----------
Вложение не в текстовом формате было извлечено…
Имя     : Слайд6.jpg
Тип     : image/jpg
Размер  : 15540 байтов
Описание: отсутствует
Url     : http://weborto.net:8080/pipermail/ortho/attachments/20110407/6f0973a5/attachment-0011.jpg 


Подробная информация о списке рассылки Ortho