[Ortho] Врожденная аномалия, множественные экзостозы

"А.В.Владзимирский" orthoforum на weborto.net
Пн Апр 11 13:08:47 YEKST 2011


Уважаемые коллеги!
Окажите, пожалуйста, консультативную помощь.Вопросы - уточнение диагноза, тактика лечения.	

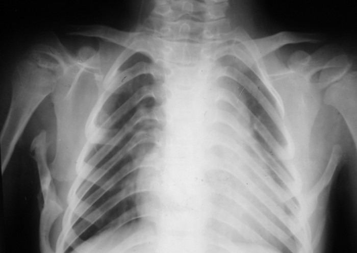
Мальчик, 1997 г.р.

Жалобы: на нарушение функции верхних конечностей: невозможность движения в обеих правых плечевых и локтевых суставах; ограничение движений в шейном отделе позвоночника, наличие опухолевидных множественных образований на спине и пробам бедре.

Анамнез заболевания: со слов матери появлению множественных опухолевидных образований на спине предшествовал массаж воротниковой зоны в 4 года. Консультирован в Областной детской больнице и Областном онкодиспансере. В декабре 2010 г. после падения с велосипеда ушиб левый локтевой сустав, a в январе вторичное падение с велосипеда с ушибом правого локтевого сустава, после чего пациент отметил постепенное ухудшение функции обеих верхних конечностей вплоть до резкого ограничения объема движений в обеих плечевых и локтевых суставах. 

Место болезни: при осмотре определяется - вынужденное положение верхних конечностей в плечевых и локтевых суставах, множественные опухолеподобные образования вдоль позвоночника и по наружной поверхности верхней трети левой бедренной кости округлой формы, с четкими контурами, неподвижные, безболезненные, каменистой плотности. приводяще-отводящая контрактура в обеих плечевых суставах, сгибательно-разгибательная контрактура в обеих локтевых суставах с сохранение про- и супинационных движений. Объем движений в пальцах кисти и лучезапястных суставах в полном объеме без ограничений, безболезненный.

Диагноз: врожденная аномалия развития шейного отдела позвоночника с резким нарушением функции в плечевых и локтевых суставах, множественных костно-хрящевые экзостозы, оссифицирующий миозит.

При инструментальном обследовании выявлено рестриктивный тип нарушения функции легких (крайне резкое снижение), обструктивный тип нарушения функции легких на уровне крупных бронхов (весьма значительное снижение).

Реография верхних конечностей: Пульсовое наполнение сосудов верхних конечностей снижено на левом плече D>S в 5,5 раза, на уровне кисти снижено справа в 1,7 раза. Дистония резистентных сосудов на плече за счет резкого снижения слева, на уровне кисти за счет умеренного снижения справа.

Биоэлектрическая активность мышц снижена в 2 раза. Асимметрия биоэлектрической активности снижение на левой руке дельтовидная мышца передняя порция в 1,3 раза, бицепс – в 2 раза, трицепс – в 1,3 раза, сгибатели предплечья в 2,5 раза, разгибатели предплечья в 2 раза, тенор в 2,3 раза, гипотенор в 1,3 раза, трапецевидная мышца вертикальная порция в 1,3 раза, надостная в 2 раза, подостная в 1,5 раза.

Хронаксиметрия – возбудимость нервных стволов верхних конечностей снижена на правой руке локтевой нерв в 1,5 раза, срединный нерв в 1,3 раза. Двигательная реакция типичная.

Биомеханика – активные движения отмечены в правом локтевом суставе, сгибание

----------- УМЕДХЭБС ЮБУФШ -----------
Вложение не в текстовом формате было извлечено…
Имя     : chest02.JPG
Тип     : image/jpg
Размер  : 52986 байтов
Описание: отсутствует
Url     : http://weborto.net:8080/pipermail/ortho/attachments/20110411/91d0523e/attachment-0001.jpg 


Подробная информация о списке рассылки Ortho