[Ortho] Вальгусная деформация локтевого сустава, 11 л.

"Пожарский Ю." orthoforum на weborto.net
Пн Апр 11 21:06:24 YEKST 2011


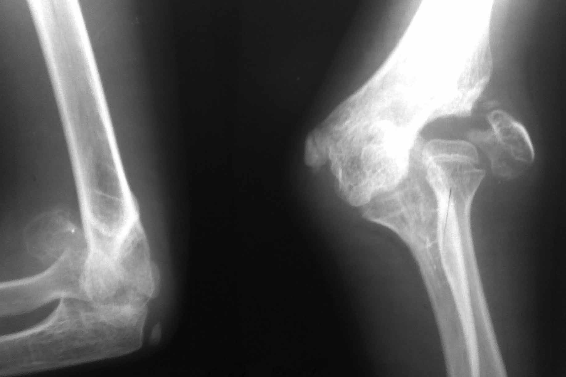
Уважаемые коллеги Очень интересно услышать мнения по тактике лечения пациента 11 лет
DS:Ложный сустав головчатого возвышения правого плеча Вальгусная деформация локтевого
сустава

Пациент 11 лет. Из детского дома. За помощью обратился впервые. Анамнез заболевания собрать
не представляется возможным. Вероятнее всего имел место нелеченный перелом головчатого
возвышения плеча со смещением отломков. Давность травмы неизвестна. Объективно:
Вальгусная деформация локтевого сустава 25-30град. По наружной поверхности пальпируется
тугоподвижный костный фрагмент головчатого возвышения. Функция сустава сохранена в
полном объеме, безболезненна. Рентгенограмма прилагается.
Пожарский Ю.
----------- следущая часть -----------
Вложение не в текстовом формате было извлечено…
Имя     : 11042011374 - копия.jpg
Тип     : image/jpg
Размер  : 52915 байтов
Описание: отсутствует
Url     : http://weborto.net:8080/pipermail/ortho/attachments/20110411/caf4516f/attachment-0001.jpg 


Подробная информация о списке рассылки Ortho