[Ortho] Врожденная аномалия, множественные экзостозы

А.В.Владзимирский orthoforum на weborto.net
Вт Апр 12 19:40:20 YEKST 2011


рентгенограммы
А.В.Владзимирский
ДНИИТО
----------- УМЕДХЭБС ЮБУФШ -----------
Вложение не в текстовом формате было извлечено…
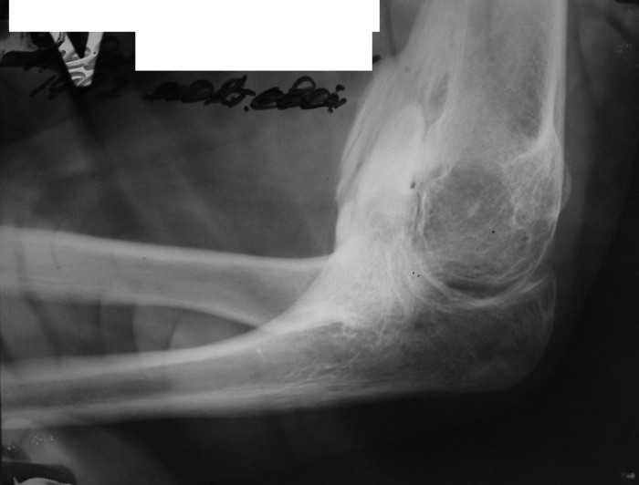
Имя     : elbow07.JPG
Тип     : image/jpeg
Размер  : 20907 байтов
Описание: отсутствует
Url     : http://weborto.net:8080/pipermail/ortho/attachments/20110412/7f6d467a/attachment-0003.jpeg 
----------- УМЕДХЭБС ЮБУФШ -----------
Вложение не в текстовом формате было извлечено…
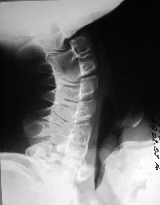
Имя     : neck07.JPG
Тип     : image/jpeg
Размер  : 23783 байтов
Описание: отсутствует
Url     : http://weborto.net:8080/pipermail/ortho/attachments/20110412/7f6d467a/attachment-0004.jpeg 
----------- УМЕДХЭБС ЮБУФШ -----------
Вложение не в текстовом формате было извлечено…
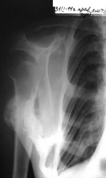
Имя     : should11.JPG
Тип     : image/jpeg
Размер  : 23445 байтов
Описание: отсутствует
Url     : http://weborto.net:8080/pipermail/ortho/attachments/20110412/7f6d467a/attachment-0005.jpeg 


Подробная информация о списке рассылки Ortho