[Ortho] Ведение больных после синтеза лонного сочленения

Djoldas Kuldjanov orthoforum на weborto.net
Сб Апр 16 09:25:51 YEKST 2011


Остальные снимки

Djoldas Kuldjanov, M.D.
Associate Professor
Department of Orthopedic Surgery
St. Louis University
----------- следущая часть -----------
Вложение не в текстовом формате было извлечено…
Имя     : 10 Pelvis Fx exfix postreduction ap.JPG
Тип     : image/jpg
Размер  : 27657 байтов
Описание: отсутствует
Url     : http://weborto.net:8080/pipermail/ortho/attachments/20110416/9698cb83/attachment-0025.jpg 
----------- следущая часть -----------
Вложение не в текстовом формате было извлечено…
Имя     : 11 Pelvis Fx exfix postreduction inlet.JPG
Тип     : image/jpg
Размер  : 41424 байтов
Описание: отсутствует
Url     : http://weborto.net:8080/pipermail/ortho/attachments/20110416/9698cb83/attachment-0026.jpg 
----------- следущая часть -----------
Вложение не в текстовом формате было извлечено…
Имя     : 12 Pelvis Fx exfix postreduction outlet.JPG
Тип     : image/jpg
Размер  : 26331 байтов
Описание: отсутствует
Url     : http://weborto.net:8080/pipermail/ortho/attachments/20110416/9698cb83/attachment-0027.jpg 
----------- следущая часть -----------
Вложение не в текстовом формате было извлечено…
Имя     : 13 Pelvis Fx orif 2.JPG
Тип     : image/jpg
Размер  : 44672 байтов
Описание: отсутствует
Url     : http://weborto.net:8080/pipermail/ortho/attachments/20110416/9698cb83/attachment-0028.jpg 
----------- следущая часть -----------
Вложение не в текстовом формате было извлечено…
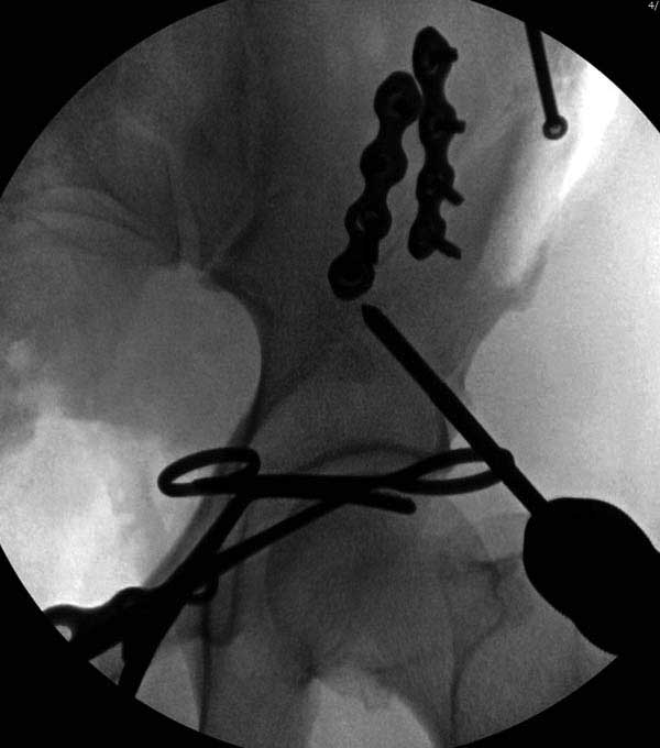
Имя     : 14 Pelvis Fx orif outlet.JPG
Тип     : image/jpg
Размер  : 47685 байтов
Описание: отсутствует
Url     : http://weborto.net:8080/pipermail/ortho/attachments/20110416/9698cb83/attachment-0029.jpg 
----------- следущая часть -----------
Вложение не в текстовом формате было извлечено…
Имя     : 15 Pelvis Fx ORIF.JPG
Тип     : image/jpg
Размер  : 38483 байтов
Описание: отсутствует
Url     : http://weborto.net:8080/pipermail/ortho/attachments/20110416/9698cb83/attachment-0030.jpg 
----------- следущая часть -----------
Вложение не в текстовом формате было извлечено…
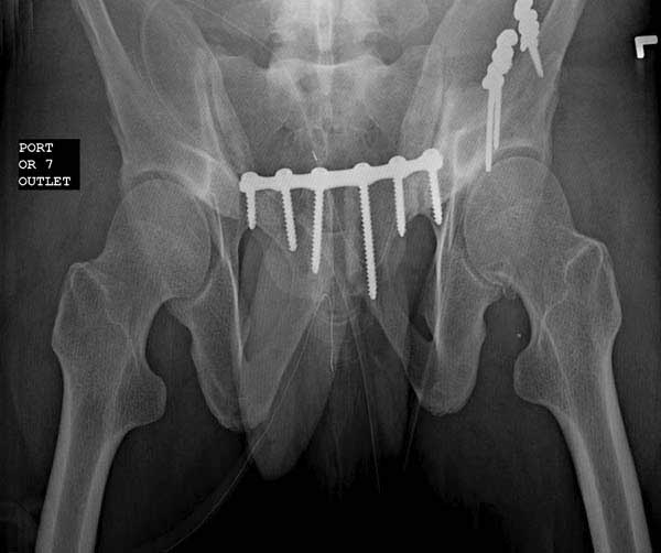
Имя     : 16 Pelvis Fx PO ap.JPG
Тип     : image/jpg
Размер  : 45782 байтов
Описание: отсутствует
Url     : http://weborto.net:8080/pipermail/ortho/attachments/20110416/9698cb83/attachment-0031.jpg 
----------- следущая часть -----------
Вложение не в текстовом формате было извлечено…
Имя     : 17 Pelvis Fx PO inlet.JPG
Тип     : image/jpg
Размер  : 40667 байтов
Описание: отсутствует
Url     : http://weborto.net:8080/pipermail/ortho/attachments/20110416/9698cb83/attachment-0032.jpg 
----------- следущая часть -----------
Вложение не в текстовом формате было извлечено…
Имя     : 18 Pelvis Fx PO outlet.jpg
Тип     : image/jpg
Размер  : 41942 байтов
Описание: отсутствует
Url     : http://weborto.net:8080/pipermail/ortho/attachments/20110416/9698cb83/attachment-0033.jpg 


Подробная информация о списке рассылки Ortho