[Ortho] Перелом бедра на фоне гематогенного остеомиелита

Игорь Кучерявый orthoforum на weborto.net
Пн Апр 18 19:18:44 YEKST 2011


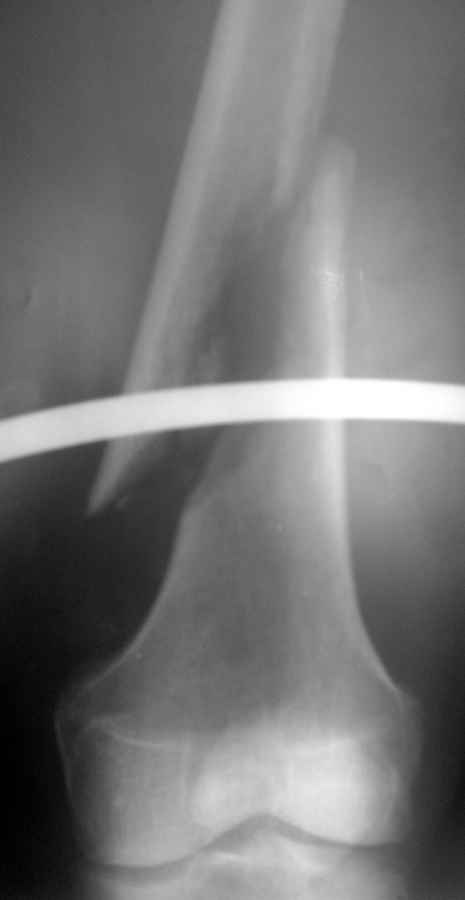
Доброго времени суток. 12.04.2011г. поступил пациент 64 лет, с косым переломом правой бедренной кости в нижней трети со смещением отломков.
Из анамнеза: начали беспокоить боли в правом бедре, в течение месяца лечился амбулаторно (НПВП, физиолечение) - без эффекта, боли нарастали. 12.04.2011г. при ходьбе наступил патологический перелом бедра, "Скорой" доставлен в стационар. Rg-снимки в приложении. Клинически имеется припухлость в нижней трети, болезненная при пальпации. Опухоль? Обследуем. Больше ничего по онкопатологии нигде не нашли. Сегодня - подъем температуры до 39гр, бедро в области перелома на ощупь горячее, флюктуация по наружной поверхности. При пункции получен зловонный гной. Взяты посевы, анализ на цитологию, начато консервативное лечение острого гематогенного остеомиелита.
Вопрос: а не может ли это быть опухолью?

По поводу оперативного лечения. У нас есть небольшой опыт консервативного лечения патологических переломов бедра при гематогенных остеомиелитах, с хорошими результатами. Видимо в этом случае пока продолжим консервативную тактику, но...
Если оперировать...
Какова может быть компоновка АВФв данном случае?
Или интрамедуллярный спейсер с антибиотиком? И как его вводить? Через колено? Не хотелось бы. Да и промыванию канала бедра будет мешать.

С ув. Кучерявый И.В.
Сергиево-Посадская РБ
----------- УМЕДХЭБС ЮБУФШ -----------
Вложение не в текстовом формате было извлечено…
Имя     : 1.jpg
Тип     : image/jpeg
Размер  : 8760 байтов
Описание: отсутствует
Url     : http://weborto.net:8080/pipermail/ortho/attachments/20110418/d33b2dda/attachment.jpg 


Подробная информация о списке рассылки Ortho