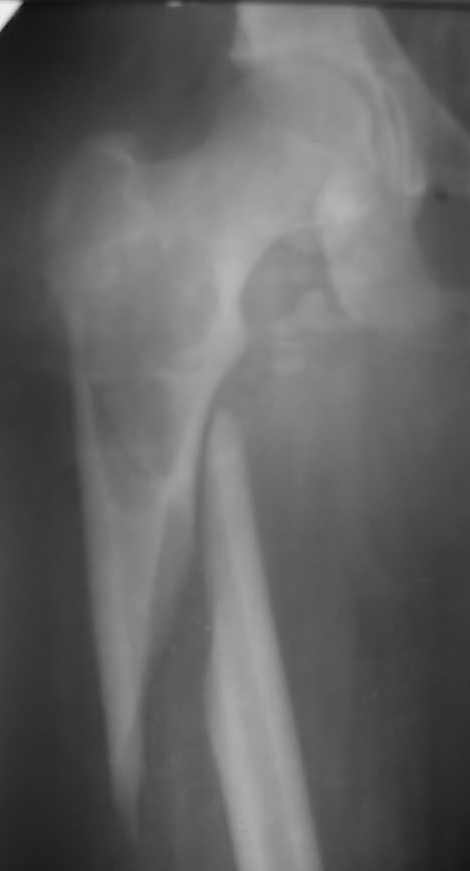
[Ortho] Патологический перелом бедренной кости.

Ihor orthoforum на weborto.net
Пн Апр 18 19:34:23 YEKST 2011


Здравствуйте уважаемые коллеги , Посоветуйте, пожалуйста, тактику лечения (метод
фиксации) патологического перелома бедренной кости у пациента 16- ти лет. С уважением.
Ihor.
----------- УМЕДХЭБС ЮБУФШ -----------
Вложение не в текстовом формате было извлечено…
Имя     : IMG_0086 1.jpg
Тип     : image/jpeg
Размер  : 7634 байтов
Описание: отсутствует
Url     : http://weborto.net:8080/pipermail/ortho/attachments/20110418/731fac6b/attachment-0001.jpg 


Подробная информация о списке рассылки Ortho