[Ortho] Костный и мягкотканный дефект голени

Maxim Agalakov orthoforum на weborto.net
Вс Апр 24 19:10:54 YEKST 2011


продолжение темы http://weborto.net/forum/1301716981/

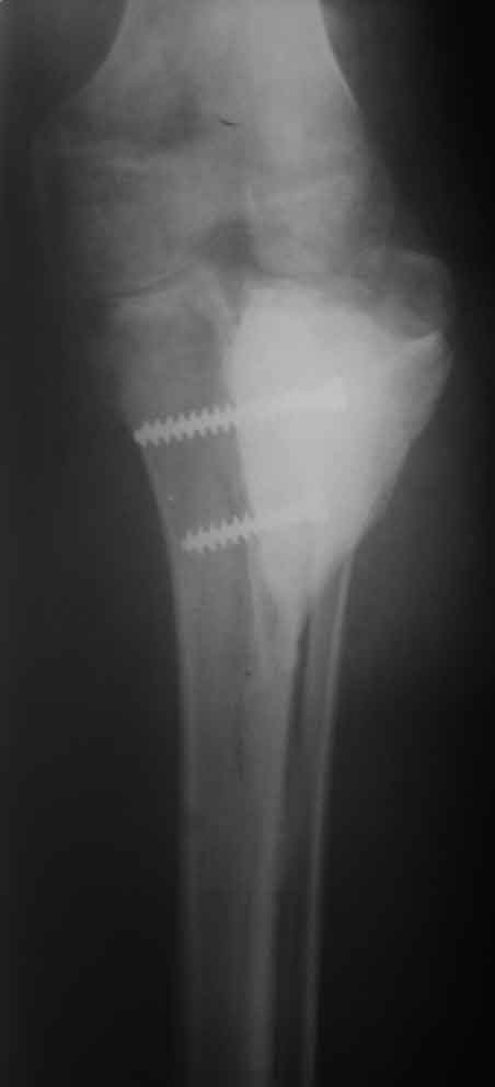
Рентген, интраоперационные фото и после снятия повязки
Maxim Agalakov
----------- следущая часть -----------
Вложение не в текстовом формате было извлечено…
Имя     : IMG_8309.jpg
Тип     : image/jpg
Размер  : 16405 байтов
Описание: отсутствует
Url     : http://weborto.net:8080/pipermail/ortho/attachments/20110424/58a5530f/attachment-0004.jpg 
----------- следущая часть -----------
Вложение не в текстовом формате было извлечено…
Имя     : IMG_8321.jpg
Тип     : image/jpg
Размер  : 15345 байтов
Описание: отсутствует
Url     : http://weborto.net:8080/pipermail/ortho/attachments/20110424/58a5530f/attachment-0005.jpg 
----------- следущая часть -----------
Вложение не в текстовом формате было извлечено…
Имя     : IMG_8365.jpg
Тип     : image/jpg
Размер  : 13667 байтов
Описание: отсутствует
Url     : http://weborto.net:8080/pipermail/ortho/attachments/20110424/58a5530f/attachment-0006.jpg 
----------- следущая часть -----------
Вложение не в текстовом формате было извлечено…
Имя     : IMG_8376.jpg
Тип     : image/jpg
Размер  : 7356 байтов
Описание: отсутствует
Url     : http://weborto.net:8080/pipermail/ortho/attachments/20110424/58a5530f/attachment-0007.jpg 


Подробная информация о списке рассылки Ortho