[Ortho] Замедленная консолидация ?

Максим orthoforum на weborto.net
Пн Апр 25 19:02:34 YEKST 2011


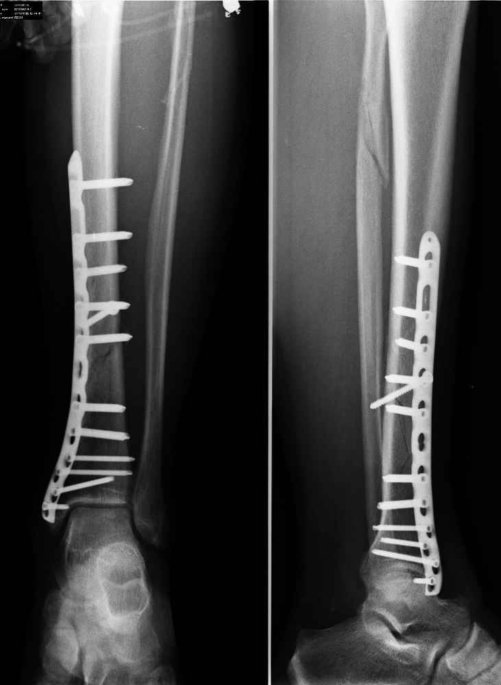
Прошу совета! Пациент 28 лет, винтообразный перелом большеберцовой кости от 19.02.2011.
(падене на коньках), остеосинтез через 4 часа, пластиной с угловой сабильностью.
Послеоперационный период протекал гладко. На р-граммах через 5 недель и 9 недель после МОС
картина без существенных изменений. Перелом малоберцовой кости также без изменений. Можно
ли говорить на данном этапе о замеленном сращении переломов?


Максим
----------- УМЕДХЭБС ЮБУФШ -----------
Вложение не в текстовом формате было извлечено…
Имя     : bessarab23042011.jpg
Тип     : image/jpeg
Размер  : 31429 байтов
Описание: отсутствует
Url     : http://weborto.net:8080/pipermail/ortho/attachments/20110425/ebf1ab4d/attachment-0001.jpg 


Подробная информация о списке рассылки Ortho