[Ortho] Несращение шейки бедра

Alexander Chelnokov alex61 на gmail.com
Ср Авг 3 00:24:51 YEKST 2011


Приветствую,

6 июля 2011 г. 0:54 пользователь Alexey Semenisty <salut.13 на gmail.com>написал:

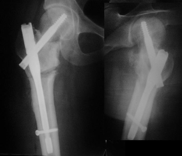
>  Я бы ограничился вальгизацией без вмешательства в зону перелома шейки.
> Биология здесь, надо полагать, хорошая, необходимо  только
>

В итоге что-то такое и сделали. Убрали DHS, остеотомия, синтезировали
Affixus с небольшой вальгизацией. Снимки в приложении.

-- 
Best regards,
 Alexander N. Chelnokov
Ural Scientific Research Institute
of Traumatology and Orthopaedics
7, Bankovsky str. Ekaterinburg 620014 Russia
----------- следущая часть -----------
Вложение в формате HTML было извлечено&hellip;
URL: http://weborto.net:8080/pipermail/ortho/attachments/20110803/16e0dc86/attachment-0001.htm 
----------- следущая часть -----------
Вложение не в текстовом формате было извлечено&hellip;
Имя     : get_image.jpg
Тип     : image/jpeg
Размер  : 29841 байтов
Описание: отсутствует
Url     : http://weborto.net:8080/pipermail/ortho/attachments/20110803/16e0dc86/attachment-0001.jpg 


Подробная информация о списке рассылки Ortho