[Ortho] (без темы)

Leonid Pollyak dr-pollyak на mail.ru
Ср Авг 10 15:17:56 YEKST 2011


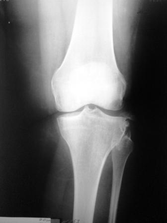
Сегодня на приеме была больная 27 лет, вес 120кг. Травма 7 лет назад -
ДТП. Была ЧМТ, двухсторонний перелом пилона, обширные рваные раны
бедер, голеней. Судя по нынешней картине - вывих голени слева. Ходит
практически не хромая, жалобы на неустойчивость голени при ходьбе. При
стресс тестах - грубейшая несостоятельность связочного аппарата
коленного сустава. Хотелось бы услышать мнение о целесообразности
пластического восстановления связок после столь длительного периода
нестабильности сустава.

-- 
С уважением,
 Leonid                          mailto:dr-pollyak на mail.ru
----------- УМЕДХЭБС ЮБУФШ -----------
Вложение не в текстовом формате было извлечено…
Имя     : SDC10833.JPG
Тип     : image/jpeg
Размер  : 29294 байтов
Описание: отсутствует
Url     : http://weborto.net:8080/pipermail/ortho/attachments/20110810/fcebed29/attachment-0002.jpeg 
----------- УМЕДХЭБС ЮБУФШ -----------
Вложение не в текстовом формате было извлечено…
Имя     : SDC10834.JPG
Тип     : image/jpeg
Размер  : 28211 байтов
Описание: отсутствует
Url     : http://weborto.net:8080/pipermail/ortho/attachments/20110810/fcebed29/attachment-0003.jpeg 


Подробная информация о списке рассылки Ortho