[Ortho] ложный сустав обеих костей правой голени

"Иван" orthoforum на weborto.net
Вт Авг 16 01:33:15 YEKST 2011


Здравствуйте коллеги! Помогите с выбором тактики лечения пациента с ложным суставом обоих костей правой голени.

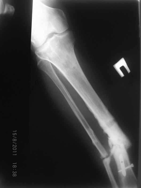
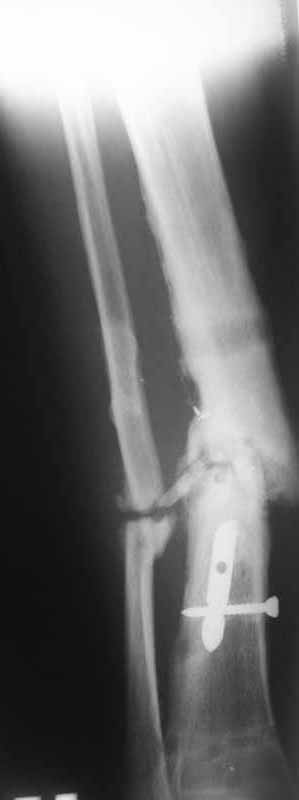
Первично у пациента травма в марте 2009г, когда в результате ДТП получил открытый оскольчатый перелом обеих костей правой голени на границе средней и нижней трети. При поступлении - скелетное вытяжение, затем по заживлению раны произведен остеосинтез пластиной. Со временем (точное время сказать затрудняется) пациенту разрешили полную нагрузку на конечность. Через год после операции пластина сломалась, в связи с чем пластина удалена и установлен интрамедуллярный гвоздь. Через 2 месяца разрешили полную нагрузку и гвоздь сломался. В сентябре 2010 произведено наложение спицевого компрессионно-дистракционного аппарата. В мае 2011 появилось отделяемое в местах проведения спиц, в связи с чем аппарат демонтирован. Правая голень временно иммобилизирована гипсовой повязкой, разрешена нагрузка на правую нижнюю конечность. После снятия повязки - клиника ложного сустава обеих костей правой голени. В настоящее время отмечается угловая деформация правой голени на границе средней и нижней трети с отклонением оси в медиальную сторону. Кожные покровы изменены за счет трофических нарушений(имеют более темную окраску по сравнению со здоровой ногой)На коже рубцы на месте проведения спиц.Движения в коленном и голеностопном суставах в полном объеме безболезненны. Пульсация артерий на стопе отчетливая, выпадение чувствительности от третьего луча в латеральную сторону по тылу стопы.  В таком виде пациент оказался у нас. Рады выслушать предложения о тактике лечения.
Иван
----------- следущая часть -----------
Вложение в формате HTML было извлечено…
URL: http://weborto.net:8080/pipermail/ortho/attachments/20110816/e165342b/attachment-0001.htm 
----------- следущая часть -----------
Вложение не в текстовом формате было извлечено…
Имя     : CIMG1118-1.jpg
Тип     : image/jpg
Размер  : 23811 байтов
Описание: отсутствует
Url     : http://weborto.net:8080/pipermail/ortho/attachments/20110816/e165342b/attachment-0003.jpg 
----------- следущая часть -----------
Вложение не в текстовом формате было извлечено…
Имя     : CIMG1119-2.jpg
Тип     : image/jpg
Размер  : 25070 байтов
Описание: отсутствует
Url     : http://weborto.net:8080/pipermail/ortho/attachments/20110816/e165342b/attachment-0004.jpg 
----------- следущая часть -----------
Вложение не в текстовом формате было извлечено…
Имя     : CIMG1121-4.jpg
Тип     : image/jpg
Размер  : 30429 байтов
Описание: отсутствует
Url     : http://weborto.net:8080/pipermail/ortho/attachments/20110816/e165342b/attachment-0005.jpg 


Подробная информация о списке рассылки Ortho