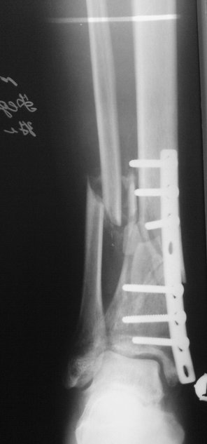
[Ortho] ложный сустав обеих костей правой голени

Nikita Zadneprovskiy zacuta2011 на gmail.com
Ср Авг 17 10:48:34 YEKST 2011


Как-то вот нет уже желания открываться в зоне ложного сустава. Мы бы
попытались сделать закрыто. Винт в дистальном отломке удалить через прокол.
Кусок гвоздя оставить. Новый гвоздь (солидный), возможно с покрытием.

Примерная ситуация. Пациент 37 лет. Синтезировали где-то пластинкой. Попал к
нам через 2 месяца.
19 апреля  убрали через проколы пластину с винтами, пересекли fibula,
наложили аппарат.
Немного потянули по оси, убрали вальгус, ротацию. 22 апреля (на 3-е сутки)
заштифтовали окончательно. 29 апреля выписали из отделения. На все ушло 10
дней.

С уважением, Никита Заднепровский
----------- следущая часть -----------
Вложение в формате HTML было извлечено…
URL: http://weborto.net:8080/pipermail/ortho/attachments/20110817/7ada23a0/attachment-0001.htm 
----------- следущая часть -----------
Вложение не в текстовом формате было извлечено…
Имя     : preop_1_ap.jpg
Тип     : image/jpeg
Размер  : 52784 байтов
Описание: отсутствует
Url     : http://weborto.net:8080/pipermail/ortho/attachments/20110817/7ada23a0/attachment-0006.jpg 
----------- следущая часть -----------
Вложение не в текстовом формате было извлечено…
Имя     : 2_preop_lat.jpg
Тип     : image/jpeg
Размер  : 52648 байтов
Описание: отсутствует
Url     : http://weborto.net:8080/pipermail/ortho/attachments/20110817/7ada23a0/attachment-0007.jpg 
----------- следущая часть -----------
Вложение не в текстовом формате было извлечено…
Имя     : r_preop_ap.jpg
Тип     : image/jpeg
Размер  : 23331 байтов
Описание: отсутствует
Url     : http://weborto.net:8080/pipermail/ortho/attachments/20110817/7ada23a0/attachment-0008.jpg 
----------- следущая часть -----------
Вложение не в текстовом формате было извлечено…
Имя     : r_preop_lat.jpg
Тип     : image/jpeg
Размер  : 24858 байтов
Описание: отсутствует
Url     : http://weborto.net:8080/pipermail/ortho/attachments/20110817/7ada23a0/attachment-0009.jpg 
----------- следущая часть -----------
Вложение не в текстовом формате было извлечено…
Имя     : ilizar1.jpg
Тип     : image/jpeg
Размер  : 49761 байтов
Описание: отсутствует
Url     : http://weborto.net:8080/pipermail/ortho/attachments/20110817/7ada23a0/attachment-0010.jpg 
----------- следущая часть -----------
Вложение не в текстовом формате было извлечено…
Имя     : ilizar2.jpg
Тип     : image/jpeg
Размер  : 44133 байтов
Описание: отсутствует
Url     : http://weborto.net:8080/pipermail/ortho/attachments/20110817/7ada23a0/attachment-0011.jpg 


Подробная информация о списке рассылки Ortho