[Ortho] Импрессия мыщелка б/б кости

Djoldas Kuldjanov orthoforum на weborto.net
Вс Авг 21 22:09:36 YEKST 2011


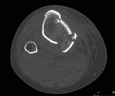
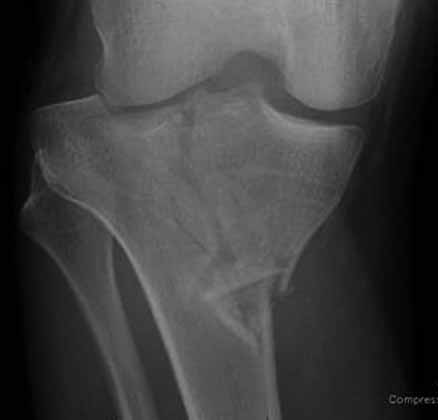
На снимке типичный перелом медиального тибиал плато с передним смещением (подвывих) по Schatzker IV. Консервативное лечение без медиальной опоры не может удержать деформирующие силы, и из-за вторичного смещения мыщелка конечность смещается в варус. Кроме передних смещений еще встречаются сложные фронтальные варианты переломов, и тогда голень подвывихивается кпереди.


Тактика лечения перелома Schatzker IV в остром периоде отличается от других типов переломов, потому что кроме перелома костей повреждаются связки сустава. Первостепенно необходимо лечить костную деформацию, а потом (при необходимости?) повреждение связок. Такая тактика считается лучшей, чем “провести санацию коленного сустава-возможно мешает поврежденный наружный мениск, это можно сделать и сразу, не ожидая восстановления объема движений, конечно лучше артроскопом”.
К сожелению многие упускают такую возможность и в молодом возрасте оставленный такой сустав быстро приводит к инвалидности. Об этом подробно в предидущих дискуссиях: http://weborto.net/forum/1292598289/1293647377/1293650173/



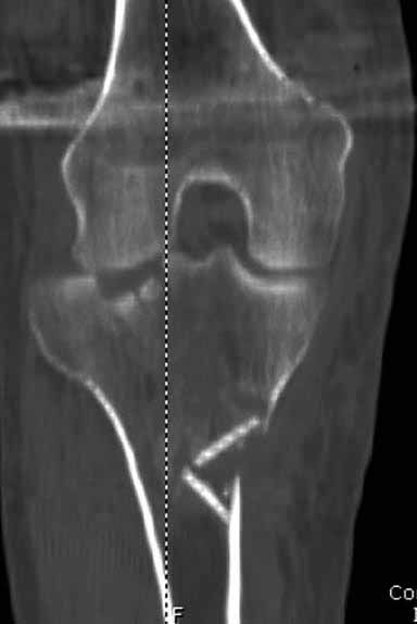
А в данном случае мыщелок сросся со смещением кпереди и ротирован. За счет интактной наружной колонны опороспособность конечности сохранена, но остается варус и экстензия конечности. Для предоперационного расчета необходимо сделать на всю длину конечности рентгенограмму, а в остром периоде КТ и 3-мерный снимок помогут лучше ориентироваться в характере перелома.


Остеотомия с разворотом медиального мыщелка, и для фиксации можно применить параллельные субхондральные межмыщелковые шурупы. Дополнительная медиальная Smith-Nephew PERI-LOC™ (Periarticular Locked Plating System) пластина. При отсутствии специальной пластины можно адаптировать Tomofix для высокой остеотомии. Доступ прямой медиальный через pes anserinus или через интервал pes с medial gastrocnemeus.

Djoldas Kuldjanov, M.D.
Associate Professor
Department of Orthopedic Surgery
St. Louis University

----------- следущая часть -----------
Вложение не в текстовом формате было извлечено…
Имя     : Medial_tibial_column_2.JPG
Тип     : image/jpg
Размер  : 24457 байтов
Описание: отсутствует
Url     : http://weborto.net:8080/pipermail/ortho/attachments/20110821/243a4c45/attachment-0008.jpg 
----------- следущая часть -----------
Вложение не в текстовом формате было извлечено…
Имя     : Medial_tibial_column_3.JPG
Тип     : image/jpg
Размер  : 19049 байтов
Описание: отсутствует
Url     : http://weborto.net:8080/pipermail/ortho/attachments/20110821/243a4c45/attachment-0009.jpg 
----------- следущая часть -----------
Вложение не в текстовом формате было извлечено…
Имя     : Medial_tibial_column_4.JPG
Тип     : image/jpg
Размер  : 48638 байтов
Описание: отсутствует
Url     : http://weborto.net:8080/pipermail/ortho/attachments/20110821/243a4c45/attachment-0010.jpg 
----------- следущая часть -----------
Вложение не в текстовом формате было извлечено…
Имя     : Medial_tibial_column_5.JPG
Тип     : image/jpg
Размер  : 58274 байтов
Описание: отсутствует
Url     : http://weborto.net:8080/pipermail/ortho/attachments/20110821/243a4c45/attachment-0011.jpg 
----------- следущая часть -----------
Вложение не в текстовом формате было извлечено…
Имя     : Medial_tibial_column_6.JPG
Тип     : image/jpg
Размер  : 60904 байтов
Описание: отсутствует
Url     : http://weborto.net:8080/pipermail/ortho/attachments/20110821/243a4c45/attachment-0012.jpg 
----------- следущая часть -----------
Вложение не в текстовом формате было извлечено…
Имя     : Medial_tibial_column_7.JPG
Тип     : image/jpg
Размер  : 49850 байтов
Описание: отсутствует
Url     : http://weborto.net:8080/pipermail/ortho/attachments/20110821/243a4c45/attachment-0013.jpg 
----------- следущая часть -----------
Вложение не в текстовом формате было извлечено…
Имя     : Medial_tibial_column_8.JPG
Тип     : image/jpg
Размер  : 31124 байтов
Описание: отсутствует
Url     : http://weborto.net:8080/pipermail/ortho/attachments/20110821/243a4c45/attachment-0014.jpg 
----------- следущая часть -----------
Вложение не в текстовом формате было извлечено…
Имя     : Medial_tibial_column.JPG
Тип     : image/jpg
Размер  : 17594 байтов
Описание: отсутствует
Url     : http://weborto.net:8080/pipermail/ortho/attachments/20110821/243a4c45/attachment-0015.jpg 


Подробная информация о списке рассылки Ortho