[Ortho] Несросшийся перелом пяточной кости

"Антон Андрианов" orthoforum на weborto.net
Пн Авг 29 11:08:05 YEKST 2011


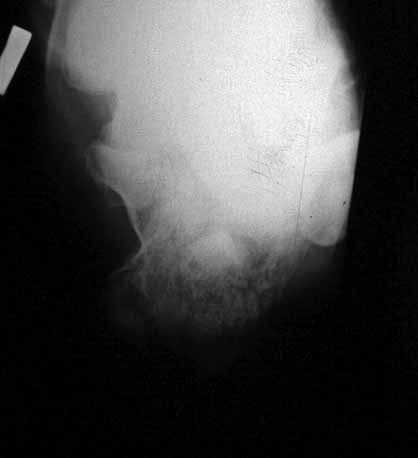
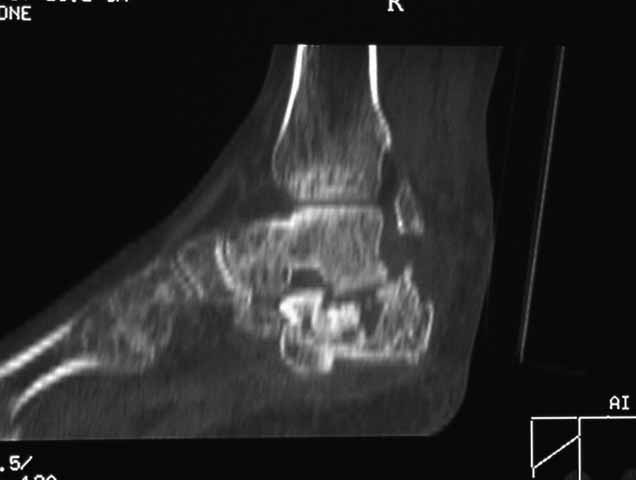
КТ перелома пяточной кости

Пациент 60 лет с производственной травмой-закрытые переломы правой пяточной кости,
тибиального плато слева поступил в феврале с.г. На 4 сутки выполнена открытая репозиция,
остеосинтез внутрисуставного перелома голени, ручная репозиция пяточной кости. Через три
месяца начал ходить с нагрузкой на обе ноги. Консолидация голени с полным восстановлением
функции колена. Правая стопа умеренно отечна, продольно распластана, длительная ходьба
вызывает боли и увеличение отека. Прошел несколько курсов ударно-волновой терапии,
грязелечение, боли и отек уменьшились. В наших планах -оформление на ВТЭК, через год
возможно выполнение подтаранного артродеза.Но после производства КТ в августе появились
сомнения в консолидации перелома.Ранее у нас не было опыта КТ переломов стопы и сканы привели
в замешательство.Прилагаю снимки со дня поступления, августовские пациентом не
представлены.С благодарностью примем советы коллег.




Антон Андрианов

----------- следущая часть -----------
Вложение в формате HTML было извлечено…
URL: http://weborto.net:8080/pipermail/ortho/attachments/20110829/b9abdfc3/attachment-0001.htm 
----------- следущая часть -----------
Вложение не в текстовом формате было извлечено…
Имя     : Doc1_html_2e9e2088.jpg
Тип     : image/jpg
Размер  : 18540 байтов
Описание: отсутствует
Url     : http://weborto.net:8080/pipermail/ortho/attachments/20110829/b9abdfc3/attachment-0005.jpg 
----------- следущая часть -----------
Вложение не в текстовом формате было извлечено…
Имя     : Doc1_html_5c0585b0.jpg
Тип     : image/jpg
Размер  : 26099 байтов
Описание: отсутствует
Url     : http://weborto.net:8080/pipermail/ortho/attachments/20110829/b9abdfc3/attachment-0006.jpg 
----------- следущая часть -----------
Вложение не в текстовом формате было извлечено…
Имя     : Doc1_html_6e01a67d.jpg
Тип     : image/jpg
Размер  : 49798 байтов
Описание: отсутствует
Url     : http://weborto.net:8080/pipermail/ortho/attachments/20110829/b9abdfc3/attachment-0007.jpg 
----------- следущая часть -----------
Вложение не в текстовом формате было извлечено…
Имя     : Doc1_html_m2a9d46d8.jpg
Тип     : image/jpg
Размер  : 37155 байтов
Описание: отсутствует
Url     : http://weborto.net:8080/pipermail/ortho/attachments/20110829/b9abdfc3/attachment-0008.jpg 
----------- следущая часть -----------
Вложение не в текстовом формате было извлечено…
Имя     : Doc1_html_m7537516.jpg
Тип     : image/jpg
Размер  : 24310 байтов
Описание: отсутствует
Url     : http://weborto.net:8080/pipermail/ortho/attachments/20110829/b9abdfc3/attachment-0009.jpg 


Подробная информация о списке рассылки Ortho