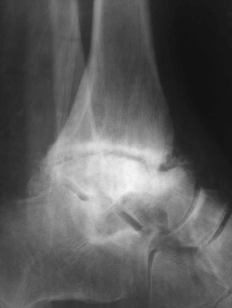
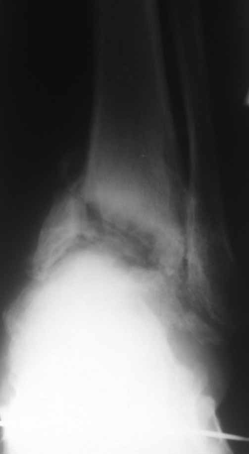
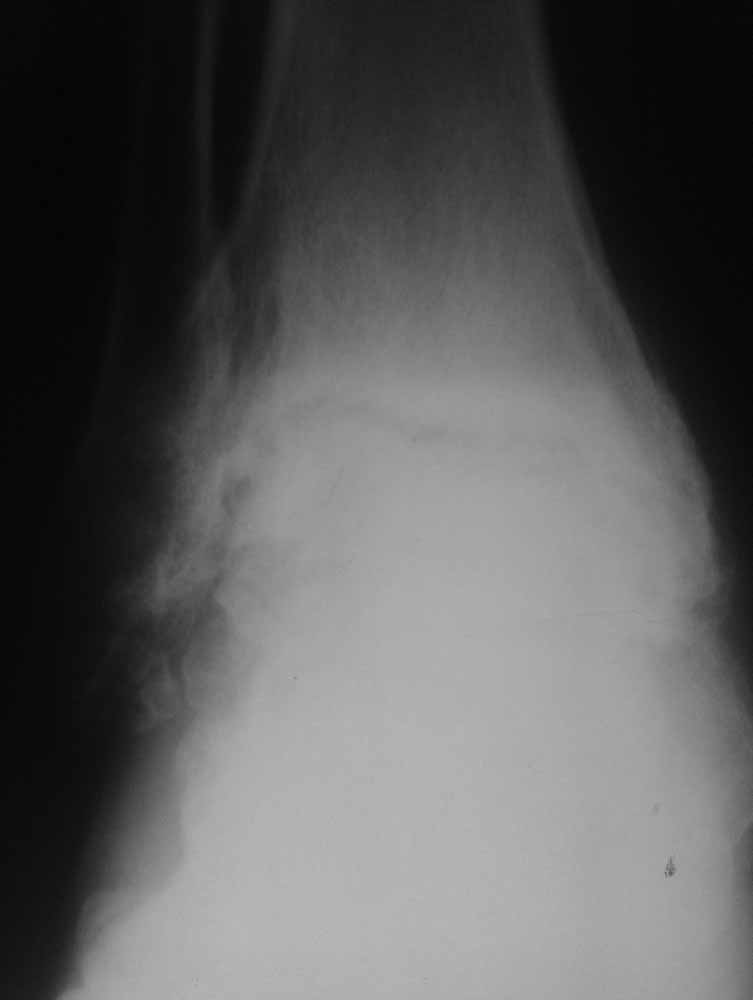
[Ortho] Дефартроз голеностопа+перелом пилона+перелом тарана?

"Валерий Останин" orthoforum на weborto.net
Сб Дек 3 21:47:21 YEKT 2011


Жалобы со стороны второго сустава есть - прыгать на костылях до томографа без опоры на левую стопу пациенту было больно.
Зачем вытяжение - эффект на рентгенограммах виден.
Склоняемся к мысли, что все таки Charcot's Joint.
Планируем артродез стержнем правого голеностопа + аппарат на левый голеностоп.
Остается вопрос - как монтировать ? одномоментно корректировать или все таки постепенно аппаратом?
Спасибо!
С уважением, Останин.
----------- следущая часть -----------
Вложение в формате HTML было извлечено…
URL: http://weborto.net:8080/pipermail/ortho/attachments/20111203/f37772b8/attachment-0001.htm 
----------- следущая часть -----------
Вложение не в текстовом формате было извлечено…
Имя     : На вытяжении 1.jpg
Тип     : image/jpg
Размер  : 17247 байтов
Описание: отсутствует
Url     : http://weborto.net:8080/pipermail/ortho/attachments/20111203/f37772b8/attachment-0004.jpg 
----------- следущая часть -----------
Вложение не в текстовом формате было извлечено…
Имя     : На вытяжении 2.jpg
Тип     : image/jpg
Размер  : 29447 байтов
Описание: отсутствует
Url     : http://weborto.net:8080/pipermail/ortho/attachments/20111203/f37772b8/attachment-0005.jpg 
----------- следущая часть -----------
Вложение не в текстовом формате было извлечено…
Имя     : правый профиль.jpg
Тип     : image/jpg
Размер  : 27321 байтов
Описание: отсутствует
Url     : http://weborto.net:8080/pipermail/ortho/attachments/20111203/f37772b8/attachment-0006.jpg 
----------- следущая часть -----------
Вложение не в текстовом формате было извлечено…
Имя     : правый фас.jpg
Тип     : image/jpg
Размер  : 19527 байтов
Описание: отсутствует
Url     : http://weborto.net:8080/pipermail/ortho/attachments/20111203/f37772b8/attachment-0007.jpg 


Подробная информация о списке рассылки Ortho