[Ortho] Ложный сустав базальной части шейки бедра

"Виктор" orthoforum на weborto.net
Вт Дек 6 22:56:28 YEKT 2011


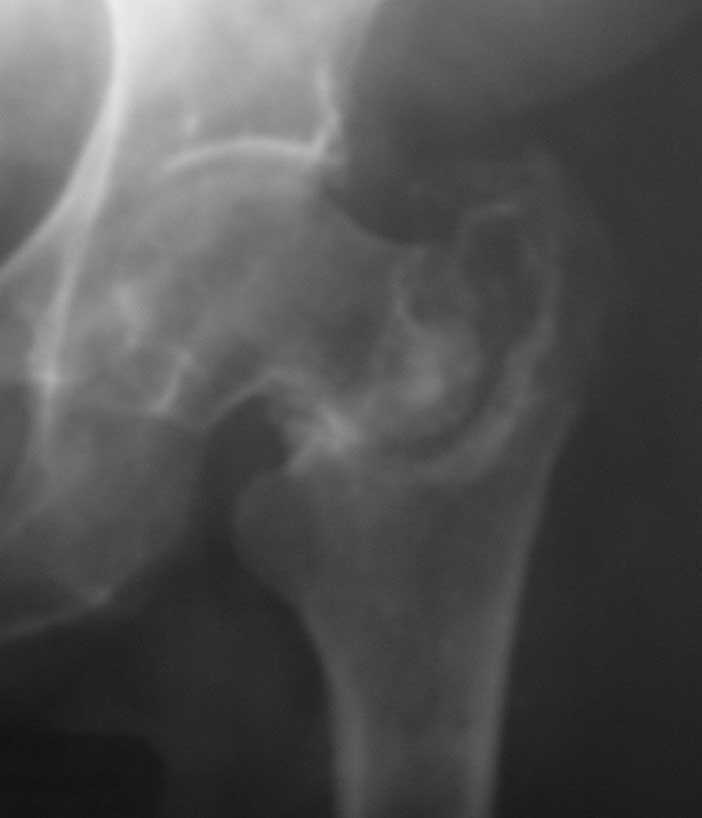
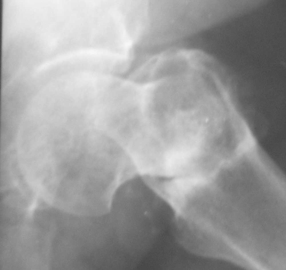
Больная 61 год. Травма 1 год назад – закрытый базальный перелом бедренной кости без смещения.
Перелом рентгенологически был диагностирован только через 6 недель (на первичных снимках
не визуализировался, КТ не проводилось, повторную травму отрицает). Проведен курс
консервативного лечения (ходьба на костылях без опоры на левую ногу до 4-х месяцев, ЛФК,
физиолечение и т.п.). В настоящее время передвигается при помощи костылей с незначительной
опорой на левую ногу. Больная страдает сахарным диабетом. 

Возможные варианты лечения: 1) Тотальное эндопротезирование. 2) Ревизия ложного сустава, возможно костная пластика, МОС
углообразной пластиной 130, DHS, AFN. 
Виктор



----------- УМЕДХЭБС ЮБУФШ -----------
Вложение в формате HTML было извлечено…
URL: http://weborto.net:8080/pipermail/ortho/attachments/20111206/cccde76d/attachment-0001.htm 
----------- УМЕДХЭБС ЮБУФШ -----------
Вложение не в текстовом формате было извлечено…
Имя     : IMG_6198.jpg
Тип     : image/jpg
Размер  : 20450 байтов
Описание: отсутствует
Url     : http://weborto.net:8080/pipermail/ortho/attachments/20111206/cccde76d/attachment-0002.jpg 
----------- УМЕДХЭБС ЮБУФШ -----------
Вложение не в текстовом формате было извлечено…
Имя     : IMG_6199.jpg
Тип     : image/jpg
Размер  : 35921 байтов
Описание: отсутствует
Url     : http://weborto.net:8080/pipermail/ortho/attachments/20111206/cccde76d/attachment-0003.jpg 


Подробная информация о списке рассылки Ortho