[Ortho] Ложный сустав н/3 бедра

"Константин Никитин" orthoforum на weborto.net
Ср Дек 7 23:52:55 YEKT 2011


Помогите выбрать метод лечения.

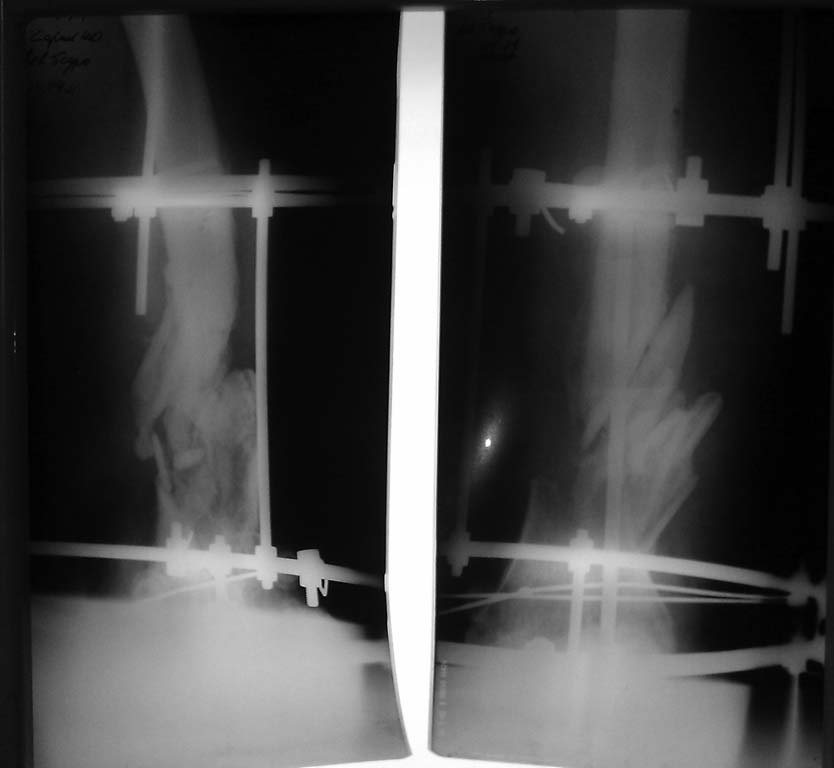
Уважаемые коллеги помогите выбрать метод лечения пациента. Год назад производственная
травма с обширной раной н/3 бедра. Оперирован на Севере спице-стержневым аппаратом. В
настоящий момент рана бедра зажила, аппарат Илизарова снят. Из спицевых ран гнойное
отделяемое. Из области раны отделяемого не было. Как мне мыслится при отсутствии гнойного
процесса открыть место перелома, периостально выделить осколки, произвести
интрамедуллярный остеосинтез ретро-, или антеградным стержнем и жизнеспособные осколки
по возможности уложить в дефект,вокруг штифта.
Константин Никитин
----------- следущая часть -----------
Вложение в формате HTML было извлечено…
URL: http://weborto.net:8080/pipermail/ortho/attachments/20111207/06a9153e/attachment-0001.htm 
----------- следущая часть -----------
Вложение не в текстовом формате было извлечено…
Имя     : IMAG0062.jpg
Тип     : image/jpg
Размер  : 40610 байтов
Описание: отсутствует
Url     : http://weborto.net:8080/pipermail/ortho/attachments/20111207/06a9153e/attachment-0001.jpg 


Подробная информация о списке рассылки Ortho