[Ortho] Лечение пациента с сочетанной травмой

Dr.Stupka orthoforum на weborto.net
Чт Дек 8 13:47:50 YEKT 2011


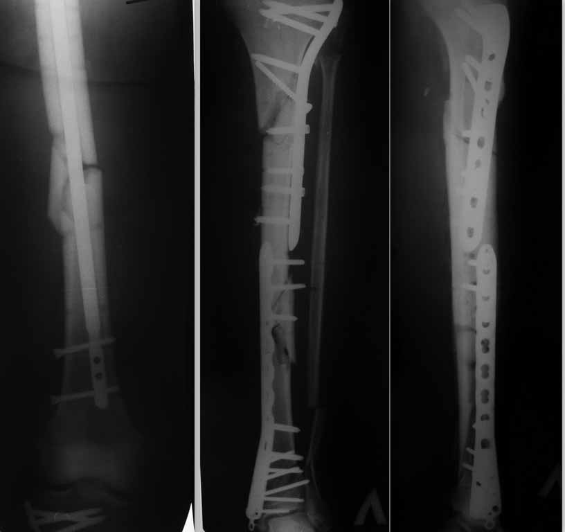
Спасибо большое за комментарии. Я рад что форум быстро откликнулся на сообщение. Дело в том,
что больной уже прооперирован 29.11.11. очень экстравагантным способом в нашей клинике.
оперировал "гуру" поэтому я от комментариев воздержусь. Выкладываю рентгенограммы на ваш
суд.
Dr.Stupka
----------- следущая часть -----------
Вложение в формате HTML было извлечено…
URL: http://weborto.net:8080/pipermail/ortho/attachments/20111208/a83f8e76/attachment-0001.htm 
----------- следущая часть -----------
Вложение не в текстовом формате было извлечено…
Имя     : 71.jpg
Тип     : image/jpg
Размер  : 32582 байтов
Описание: отсутствует
Url     : http://weborto.net:8080/pipermail/ortho/attachments/20111208/a83f8e76/attachment-0001.jpg 


Подробная информация о списке рассылки Ortho