[Ortho] Ложный сустав базальной части шейки бедра

Alexander Chelnokov alex на weborto.net
Сб Дек 10 12:37:27 YEKT 2011


Дорогой Александр Геннадьевич, коллеги

10.12.2011, в 11:00, Александр Рыков написал(а):

> Тотальная артропластика и вероятно цементная (возраст, диабет, застарелая
> ситуация, прогнозируемый краткосрочный результат.


Диабет направляет выбор в сторону менее инвазивного вмешательства, не так ли? 
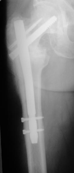
Закрытый интрамедуллярный остеосинтез или он же в сочетании с чрескожной межвертельной остеотомией в случае внесуставного несращения - это, по сути, эндопротезирование с собственной шейкой и головкой бедра. Но через 3-4 разреза по 1,5-2 см. Нога сразу опорная, сустав конгруэнтный - чего еще надо? В приложении - похожее несращение тоже у пациента за 60 и с диабетом 2 типа...
Если доктор хорошо умеет делать эндопротезирование, а вальгизирующие остеотомии - нет, то выбор в пользу эндопротезирования, наверно, более оправдан.


-- 
Best regards,
 Alexander N. Chelnokov
Ural Scientific Research Institute 
of Traumatology and Orthopaedics
7, Bankovsky str. Ekaterinburg 620014 Russia

-------------- next part --------------
An HTML attachment was scrubbed...
URL: http://weborto.net:8080/pipermail/ortho/attachments/20111210/4e01fbee/attachment-0001.htm 
-------------- next part --------------
A non-text attachment was scrubbed...
Name: get_image1.jpg
Type: image/jpg
Size: 18109 bytes
Desc: not available
Url : http://weborto.net:8080/pipermail/ortho/attachments/20111210/4e01fbee/attachment-0002.jpg 
-------------- next part --------------
A non-text attachment was scrubbed...
Name: get_image2.jpg
Type: image/jpg
Size: 9466 bytes
Desc: not available
Url : http://weborto.net:8080/pipermail/ortho/attachments/20111210/4e01fbee/attachment-0003.jpg 


Подробная информация о списке рассылки Ortho