[Ortho] Ложный сустав костей левой голени

"Марат Кадиев" orthoforum на weborto.net
Пн Дек 12 03:11:02 YEKT 2011


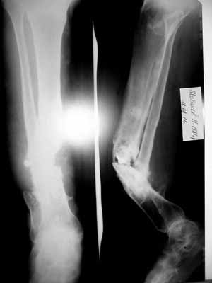
Травма в результате ДТП в 2004г., в анамнезе 4 операции

(АВФ, пластина, АВФ, фиксация винтом+ гипсовая лонгета(смысл не ясен)... )Мед.
документацию по данному заболеванию больной не предоставил, всё со слов больного. Помогите
определиться с тактикой лечения. Мы планируем произвести резекцию ложного сустава обеих
костей левой голени, билокальный остеосинтез в аппарате Илизарова с компактотомией в/3 б/б
кости. спс.
Марат Кадиев
МУ ГБ N1 
отделение Сочетанной травмы 
г. Махачкала

----------- следущая часть -----------
Вложение не в текстовом формате было извлечено…
Имя     : P1010590.JPG
Тип     : image/jpg
Размер  : 22455 байтов
Описание: отсутствует
Url     : http://weborto.net:8080/pipermail/ortho/attachments/20111212/1ac0272a/attachment-0001.jpg 


Подробная информация о списке рассылки Ortho