[Ortho] перелом бедра

Djoldas Kuldjanov orthoforum на weborto.net
Ср Дек 14 19:58:51 YEKT 2011


Нестабильность не только дистальных винтов, а также всей конструкции, которая свободно плавает внутри канала. Болтающийся штифт, сильные боли при ходьбе, а также отсутствие консолидации напоминает клиническую картину инфекцию канала. При подтверждении инфицированного ложного сустава лабораторно или клиническими исследованиями дальше по протоколу: промывание и риминг, временнный спейсер с антибиотиком и окончательная фиксация после разрешения процесса.

Перештифтовать на более толстый стержень - обычная тактика при асептических ложных суставах, и для стимуляции процесса необходимо дополнительный риминг канала не менее 2 мм больше, чем диамер гвоздя. Но в данном случае риминг канала надо больше чем обычно, до здорового кортекса, т.е. получается больше, чем два мм!



Для большинства свежих переломов достаточным бывает стандартный Gamma 3 с диаметром в 10 и 11 мм, но для реконструкции, тем более с большим диаметром канала обычный гвоздь немного тонковат. Чем плотнее, тем лучше, и Страйкер производит Long Gamma гвозди, не знаю как у вас, но у нас гвозди с большим диаметром надо заказывать заранее.



Тактика замены на более толстый гвоздь вроде правильная, и возможно у Вас получится с первого раза. Но без специальных трюков гвоздь удержать трудно, потому что между точкой на верхушке трохантера и старым каналом в пириформис почти отсутствует стенка. Без стенки трудно удержать гвоздь латерально и без блокирующих приспособлении гвоздь найдет старый канал. Конечность поведет и винт в головке срежется. Без опыта проведении блокирующих спиц, о которых  говорит Александр, вся затея окажется фиаско! Отклоняющие в передне-заднем направлении спицы в проксимальном отделе бедра немного страшновато, с повреждением седалищного нерва!



Для решения проблемных состояний некоторые коллеги выбирают только малоинвазивные методы, забывая другие методы лечения. Желание восстановить малоинвазивно это хорошо, но если имеется возможность полного восстановления  открытым методом - надо использовать. Вылеченный ложный сустав лучше, чем повторение процедур по поводу несостоятельности Гамма гвоздя...



С суждением, что "гвоздь внутри канала действует как внутренний протез даже без сращения кости" можно согласиться в некоторых состояниях, для короткого времени, например, в онкологии. А так - современный ортопед должен владеть всеми видами реконструктивной хирургии, включая открытые.



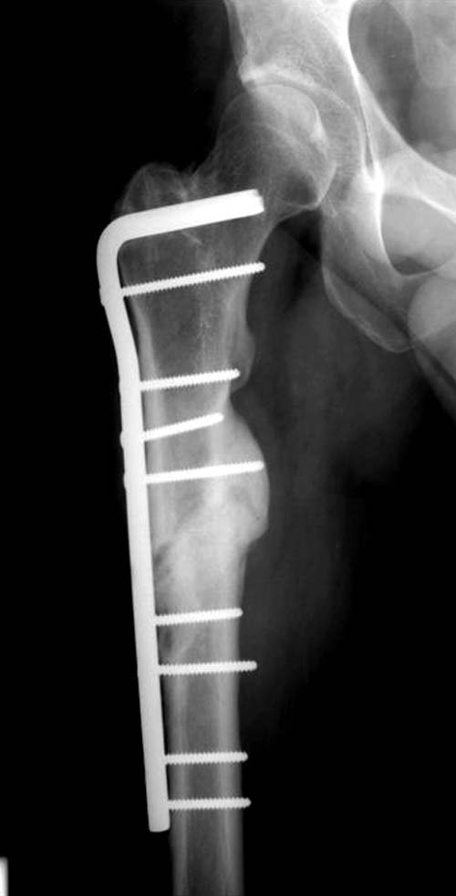
Поэтому хотел предложить альтернативную технику, открыть место ложного сустава субвастус доступом и кортикотомия, одномоментное удлинение, аппозиция латерального кортекса. Для фиксации Blade Plate с коротким клинком при возможности или обычная прямая преконтурированная 4.5 мм пластина с медиальным костным графтом.



По-моему, такая простая техника решит проблему склерозированного старого ложного сустава намного дешевле, чем гвоздь, и без необходимости обьязательного ЭОПпри установке Гамма. 


Надеюсь, мои опасения окажутся чрезмерными, и Вы покажете правильно установленную Гамму, и успешный результат лечения.

Djoldas Kuldjanov
----------- следущая часть -----------
Вложение в формате HTML было извлечено…
URL: http://weborto.net:8080/pipermail/ortho/attachments/20111214/0c6bb1fc/attachment-0001.htm 
----------- следущая часть -----------
Вложение не в текстовом формате было извлечено…
Имя     : 1 Fem nonunion ap-1.jpg
Тип     : image/jpg
Размер  : 26866 байтов
Описание: отсутствует
Url     : http://weborto.net:8080/pipermail/ortho/attachments/20111214/0c6bb1fc/attachment-0004.jpg 
----------- следущая часть -----------
Вложение не в текстовом формате было извлечено…
Имя     : 2 Fem nonunion lat preop.jpg
Тип     : image/jpg
Размер  : 25403 байтов
Описание: отсутствует
Url     : http://weborto.net:8080/pipermail/ortho/attachments/20111214/0c6bb1fc/attachment-0005.jpg 
----------- следущая часть -----------
Вложение не в текстовом формате было извлечено…
Имя     : 3 Fem nonunion postop.jpg
Тип     : image/jpg
Размер  : 34872 байтов
Описание: отсутствует
Url     : http://weborto.net:8080/pipermail/ortho/attachments/20111214/0c6bb1fc/attachment-0006.jpg 
----------- следущая часть -----------
Вложение не в текстовом формате было извлечено…
Имя     : 4 Fem nonunion postop lat.jpg
Тип     : image/jpg
Размер  : 24230 байтов
Описание: отсутствует
Url     : http://weborto.net:8080/pipermail/ortho/attachments/20111214/0c6bb1fc/attachment-0007.jpg 


Подробная информация о списке рассылки Ortho