[Ortho] Лечение переломов трубчатых костей у пациентов с Болезнью Гоше

"Евгения" orthoforum на weborto.net
Чт Дек 15 09:02:46 YEKT 2011


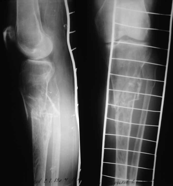
Уважаемые, коллеги! Есть ли у кого опыт лечения пациентов с переломами трубчатых костей( в данном случае проксимальный метаэпифиз большеберцовой кости)при болезни Гоше?

Пациент мужчина 39 лет.
Диагноз:Закрытый, неосложненный, оскольчатый перелом проксимального метаэпифиза большеберцовой кости, верхней трети малоберцовой кости левой голени со смещением. Снимки прилагаются. Как вы считаете, какая тактика будет более рациональна у данного больного, учитывая его сопутствующий диагноз?
Евгения
----------- следущая часть -----------
Вложение в формате HTML было извлечено…
URL: http://weborto.net:8080/pipermail/ortho/attachments/20111215/2e9a2a7a/attachment-0001.html 
----------- следущая часть -----------
Вложение не в текстовом формате было извлечено…
Имя     : IMAG0415.jpg
Тип     : image/jpg
Размер  : 39075 байтов
Описание: отсутствует
Url     : http://weborto.net:8080/pipermail/ortho/attachments/20111215/2e9a2a7a/attachment-0001.jpg 


Подробная информация о списке рассылки Ortho